Subacute cutaneous lupus erythematosus

Subacute cutaneous lupus erythematosus
Other names: SCLE[1]
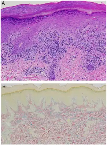
a) Topical terbinafine-induced subacute cutaneous lupus erythematosus-hyperkeratosis, superficial and deep perivascular lymphohistiocytic infiltrate b) Topical terbinafine-induced SCLE-increased deposits of connective tissue mucin throughout the dermis

Subacute cutaneous lupus erythematosus is a clinically distinct subset of cases of lupus erythematosus that is most often present in white women aged 15 to 40, consisting of skin lesions that are scaly and evolve as poly-cyclic annular lesions or plaques similar to those of plaque psoriasis.[2]

Characteristically the lesions appear in sun-exposed areas such as the vee of the neckline or the forearms, but not the face. It may be brought on by sun-sensitizing medications, but is usually associated with autoimmune disorders such as rheumatoid arthritis and Sjögren's syndrome.[3]

Therapy generally involves sun avoidance and protection and topical corticosteroids.[3] Sometimes systemic drug treatment is necessary. Besides corticosteroids other immunosuppressants such as methotrexate are also used.[4]

Lesions of SCLE may have an annular (shaped like a ring) configuration, with raised red borders and central clearing.[5][6]

See also

References

  1. "Subacute Cutaneous Lupus Erythematosus (SCLE): Background, Etiology, Epidemiology". Medscape Reference. 2019-11-09. Archived from the original on 2019-07-12. Retrieved 2019-11-23.
  2. James, William; Berger, Timothy; Elston, Dirk (2005). Andrews' Diseases of the Skin: Clinical Dermatology. (10th ed.). Saunders. Page 160. ISBN 0-7216-2921-0.
  3. 1 2 Burkhalter NW, McKenzie JT, Lane JE (2009). "Subacute cutaneous lupus erythematosus". Consultant. 49 (3). Archived from the original on 2012-02-13. Retrieved 2021-09-08.
  4. Boehm IB, Boehm GA, Bauer R (1998). "Management of cutaneous lupus erythematosus with low-dose methotrexate: indication for modulation of inflammatory mechanisms". Rheumatology International. 18 (2): 59–62. doi:10.1007/s002960050058. PMID 9782534.
  5. Rapini, Ronald P.; Bolognia, Jean L.; Jorizzo, Joseph L. (2007). Dermatology: 2-Volume Set. St. Louis: Mosby. p. 563. ISBN 978-1-4160-2999-1.
  6. Sontheimer RD, Thomas JR, Gilliam JN (December 1979). "Subacute cutaneous lupus erythematosus: a cutaneous marker for a distinct lupus erythematosus subset". Arch Dermatol. 115 (12): 1409–15. doi:10.1001/archderm.1979.04010120007006. PMID 533284.
Classification
External resources


This article is issued from Wmcloud. The text is licensed under Creative Commons - Attribution - Sharealike. Additional terms may apply for the media files.