Perforating folliculitis
| Perforating folliculitis | |
|---|---|
| Specialty | Dermatology |
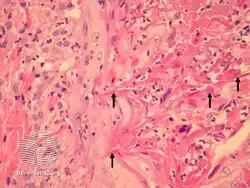
Perforating folliculitis is a skin condition in humans characterized by discrete follicular keratotic eruptions involving mainly the hairy parts of the extremities.[1]: 539–540
Perforating folliculitis/pathology
Perforating folliculitis/pathology
Perforating folliculitis/pathology
See also
References
- ↑ Freedberg, et al. (2003). Fitzpatrick's Dermatology in General Medicine. (6th ed.). McGraw-Hill. ISBN 0-07-138076-0.
This article is issued from Wmcloud. The text is licensed under Creative Commons - Attribution - Sharealike. Additional terms may apply for the media files.