Tufted angioma
Tufted angioblastoma
SpecialtyDermatology

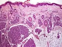
A tufted angioma (also known as an "Acquired tufted angioma," "Angioblastoma," "Angioblastoma of Nakagawa," "Hypertrophic hemangioma," "Progressive capillary hemangioma," and "Tufted hemangioma"[1][2]) usually develops in infancy or early childhood on the neck and upper trunk, and is an ill-defined, dull red macule with a mottled appearance, varying from 2 to 5 cm in diameter.[2]:โ€Š596โ€Š

See also

References

  1. โ†‘ Rapini, Ronald P.; Bolognia, Jean L.; Jorizzo, Joseph L. (2007). Dermatology: 2-Volume Set. St. Louis: Mosby. p. 1779. ISBN 978-1-4160-2999-1.
  2. 1 2 James, William; Berger, Timothy; Elston, Dirk (2005). Andrews' Diseases of the Skin: Clinical Dermatology. (10th ed.). Saunders. ISBN 0-7216-2921-0.


This article is issued from Wikipedia. The text is licensed under Creative Commons - Attribution - Sharealike. Additional terms may apply for the media files.