Secondary systemic amyloidosis
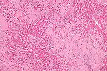
Micrograph of liver amyloidosis, H&E stain

Secondary systemic amyloidosis is a condition that involves the adrenal gland, liver, spleen, and kidney as a result of amyloid deposition due to a chronic disease such as Behçet's disease, ulcerative colitis, etc.[1]:520[2] The condition is caused by an abnormality in plasma cells.

See also

References

  1. James, William D.; Berger, Timothy G.; et al. (2006). Andrews' Diseases of the Skin: clinical Dermatology. Saunders Elsevier. ISBN 978-0-7216-2921-6.
  2. Rapini, Ronald P.; Bolognia, Jean L.; Jorizzo, Joseph L. (2007). Dermatology: 2-Volume Set. St. Louis: Mosby. ISBN 978-1-4160-2999-1.


This article is issued from Wikipedia. The text is licensed under Creative Commons - Attribution - Sharealike. Additional terms may apply for the media files.