| KRT7 | |||||||||||||||||||||||||||||||||||||||||||||||||||
|---|---|---|---|---|---|---|---|---|---|---|---|---|---|---|---|---|---|---|---|---|---|---|---|---|---|---|---|---|---|---|---|---|---|---|---|---|---|---|---|---|---|---|---|---|---|---|---|---|---|---|---|
| |||||||||||||||||||||||||||||||||||||||||||||||||||
| Identifiers | |||||||||||||||||||||||||||||||||||||||||||||||||||
| Aliases | KRT7, CK7, K2C7, K7, SCL, keratin 7 | ||||||||||||||||||||||||||||||||||||||||||||||||||
| External IDs | OMIM: 148059 MGI: 96704 HomoloGene: 4058 GeneCards: KRT7 | ||||||||||||||||||||||||||||||||||||||||||||||||||
| |||||||||||||||||||||||||||||||||||||||||||||||||||
| |||||||||||||||||||||||||||||||||||||||||||||||||||
| |||||||||||||||||||||||||||||||||||||||||||||||||||
| |||||||||||||||||||||||||||||||||||||||||||||||||||
| |||||||||||||||||||||||||||||||||||||||||||||||||||
| Wikidata | |||||||||||||||||||||||||||||||||||||||||||||||||||
| |||||||||||||||||||||||||||||||||||||||||||||||||||
Keratin, type II cytoskeletal 7 also known as cytokeratin-7 (CK-7) or keratin-7 (K7) or sarcolectin (SCL) is a protein that in humans is encoded by the KRT7 gene.[5][6][7] Keratin 7 is a type II keratin. It is specifically expressed in the simple epithelia lining the cavities of the internal organs and in the gland ducts and blood vessels.
Function
Keratin-7 is a member of the keratin gene family. The type II cytokeratins consist of basic or neutral proteins which are arranged in pairs of heterotypic keratin chains coexpressed during differentiation of simple and stratified epithelial tissues. This type II cytokeratin is specifically expressed in the simple epithelia lining the cavities of the internal organs and in the gland ducts and blood vessels. The genes encoding the type II cytokeratins are clustered in a region of chromosome 12q12-q13. Alternative splicing may result in several transcript variants; however, not all variants have been fully described.[7]
Keratin-7 is found in simple glandular epithelia, and in transitional epithelium. Epithelial cells of the lung and breast both contain keratin-7, but some other glandular epithelia, such as those of the colon and prostate, do not.
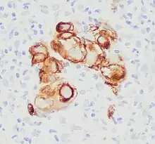
Immunohistochemistry

Because the keratin-7 antigen is found in both healthy and neoplastic cells, antibodies to CK7 can be used in immunohistochemistry to distinguish ovarian and transitional cell carcinomas (staining positive) from colonic and prostate cancers (negative), respectively. It is commonly used together with CK20 when making such diagnoses.[8]
References
- 1 2 3 GRCh38: Ensembl release 89: ENSG00000135480 - Ensembl, May 2017
- 1 2 3 GRCm38: Ensembl release 89: ENSMUSG00000023039 - Ensembl, May 2017
- ↑ "Human PubMed Reference:". National Center for Biotechnology Information, U.S. National Library of Medicine.
- ↑ "Mouse PubMed Reference:". National Center for Biotechnology Information, U.S. National Library of Medicine.
- ↑ Rosenberg M, Fuchs E, Le Beau MM, Eddy RL, Shows TB (Aug 1991). "Three epidermal and one simple epithelial type II keratin genes map to human chromosome 12". Cytogenetics and Cell Genetics. 57 (1): 33–8. doi:10.1159/000133109. PMID 1713141.
- ↑ Schweizer J, Bowden PE, Coulombe PA, Langbein L, Lane EB, Magin TM, Maltais L, Omary MB, Parry DA, Rogers MA, Wright MW (Jul 2006). "New consensus nomenclature for mammalian keratins". The Journal of Cell Biology. 174 (2): 169–74. doi:10.1083/jcb.200603161. PMC 2064177. PMID 16831889.
- 1 2 "Entrez Gene: KRT7 keratin 7".
- ↑ Leong, Anthony S-Y; Cooper, Kumarason; Leong, F Joel W-M (2003). Manual of Diagnostic Cytology (2 ed.). Greenwich Medical Media, Ltd. p. 173. ISBN 978-1-84110-100-2.
Further reading
- Bouwens L (Mar 1998). "Cytokeratins and cell differentiation in the pancreas". The Journal of Pathology. 184 (3): 234–9. doi:10.1002/(SICI)1096-9896(199803)184:3<234::AID-PATH28>3.0.CO;2-D. PMID 9614373. S2CID 19443756.
- Glass C, Kim KH, Fuchs E (Dec 1985). "Sequence and expression of a human type II mesothelial keratin". The Journal of Cell Biology. 101 (6): 2366–73. doi:10.1083/jcb.101.6.2366. PMC 2114014. PMID 2415537.
- Ramaekers F, Huysmans A, Schaart G, Moesker O, Vooijs P (May 1987). "Tissue distribution of keratin 7 as monitored by a monoclonal antibody". Experimental Cell Research. 170 (1): 235–49. doi:10.1016/0014-4827(87)90133-9. PMID 2436934.
- Glass C, Fuchs E (Oct 1988). "Isolation, sequence, and differential expression of a human K7 gene in simple epithelial cells". The Journal of Cell Biology. 107 (4): 1337–50. doi:10.1083/jcb.107.4.1337. PMC 2115265. PMID 2459129.
- Maruyama K, Sugano S (Jan 1994). "Oligo-capping: a simple method to replace the cap structure of eukaryotic mRNAs with oligoribonucleotides". Gene. 138 (1–2): 171–4. doi:10.1016/0378-1119(94)90802-8. PMID 8125298.
- Gress TM, Müller-Pillasch F, Geng M, Zimmerhackl F, Zehetner G, Friess H, Büchler M, Adler G, Lehrach H (Oct 1996). "A pancreatic cancer-specific expression profile". Oncogene. 13 (8): 1819–30. PMID 8895530.
- Suzuki Y, Yoshitomo-Nakagawa K, Maruyama K, Suyama A, Sugano S (Oct 1997). "Construction and characterization of a full length-enriched and a 5'-end-enriched cDNA library". Gene. 200 (1–2): 149–56. doi:10.1016/S0378-1119(97)00411-3. PMID 9373149.
- Alvarez Alvarez C, Sánchez Merino JM, Busto Castañón L, Pombo Felipe F, Arnal Monreal F (Jun 1998). "[Mucinous adenocarcinoma of the urachus synchronic with colorectal adenocarcinoma. Value of immunohistochemistry in the differential diagnosis]". Actas Urologicas Españolas. 22 (6): 515–8. PMID 9734130.
- Kaba A, Jiang PH, Chany-Fournier F, Chany C (Jul 1999). "Sarcolectin (SCL): structure and expression of the recombinant molecule". Biochimie. 81 (7): 709–15. doi:10.1016/S0300-9084(99)80128-X. PMID 10492017.
- Lin L, Holbro T, Alonso G, Gerosa D, Burger MM (2001). "Molecular interaction between human tumor marker protein p150, the largest subunit of eIF3, and intermediate filament protein K7". Journal of Cellular Biochemistry. 80 (4): 483–90. doi:10.1002/1097-4644(20010315)80:4<483::AID-JCB1002>3.0.CO;2-B. PMID 11169732. S2CID 35848129.
- Suzuki H, Fukunishi Y, Kagawa I, Saito R, Oda H, Endo T, Kondo S, Bono H, Okazaki Y, Hayashizaki Y (Oct 2001). "Protein-protein interaction panel using mouse full-length cDNAs". Genome Research. 11 (10): 1758–65. doi:10.1101/gr.180101. PMC 311163. PMID 11591653.
- Harris RA, Yang A, Stein RC, Lucy K, Brusten L, Herath A, Parekh R, Waterfield MD, O'Hare MJ, Neville MA, Page MJ, Zvelebil MJ (Feb 2002). "Cluster analysis of an extensive human breast cancer cell line protein expression map database". Proteomics. 2 (2): 212–23. doi:10.1002/1615-9861(200202)2:2<212::AID-PROT212>3.0.CO;2-H. PMID 11840567. S2CID 44946014.
- Bonvini P, Gastaldi T, Falini B, Rosolen A (Mar 2002). "Nucleophosmin-anaplastic lymphoma kinase (NPM-ALK), a novel Hsp90-client tyrosine kinase: down-regulation of NPM-ALK expression and tyrosine phosphorylation in ALK(+) CD30(+) lymphoma cells by the Hsp90 antagonist 17-allylamino,17-demethoxygeldanamycin". Cancer Research. 62 (5): 1559–66. PMID 11888936.
- Jovanovic I, Tzardi M, Mouzas IA, Micev M, Pesko P, Milosavljevic T, Zois M, Sganzos M, Delides G, Kanavaros P (Apr 2002). "Changing pattern of cytokeratin 7 and 20 expression from normal epithelium to intestinal metaplasia of the gastric mucosa and gastroesophageal junction". Histology and Histopathology. 17 (2): 445–54. PMID 11962749.
- Kanduc D (Jul 2002). "Translational regulation of human papillomavirus type 16 E7 mRNA by the peptide SEQIKA, shared by rabbit alpha(1)-globin and human cytokeratin 7". Journal of Virology. 76 (14): 7040–8. doi:10.1128/JVI.76.14.7040-7048.2002. PMC 136328. PMID 12072504.
- Smith FJ, Porter RM, Corden LD, Lunny DP, Lane EB, McLean WH (Oct 2002). "Cloning of human, murine, and marsupial keratin 7 and a survey of K7 expression in the mouse". Biochemical and Biophysical Research Communications. 297 (4): 818–27. doi:10.1016/S0006-291X(02)02288-X. PMID 12359226.
- Blagoev B, Kratchmarova I, Ong SE, Nielsen M, Foster LJ, Mann M (Mar 2003). "A proteomics strategy to elucidate functional protein-protein interactions applied to EGF signaling". Nature Biotechnology. 21 (3): 315–8. doi:10.1038/nbt790. PMID 12577067. S2CID 26838266.




