Invasive lobular carcinoma
Lobules of the mammary glands.
SpecialtyOncology
Histopathologic types of breast cancer, with relative incidences and prognoses, with "invasive lobular carcinoma" at top right

Invasive lobular carcinoma (ILC) is breast cancer arising from the lobules of the mammary glands.[1] It accounts for 5–10% of invasive breast cancer.[2][3] Rare cases of this carcinoma have been diagnosed in men (see male breast cancer).[4]

Types

Most common features[5]
Classic lobular Pleomorphic lobular
GradesLow or high (II/III)High (III)
AJCC stageIII
Lymph node statusNegativePositive
ER/PR statusPositivePositive
Surgery typeLumpectomyMastectomy

The histologic patterns include:[6][7][8]

Type Prevalence Description Image
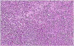
Classical 40% Round or ovoid cells with little cytoplasm in a single-file infiltrating pattern, sometimes concentrically giving a targetoid pattern
Mixed 40% No dominant pattern
Solid 10% Sheets of classical-appearing cells with little intervening stroma
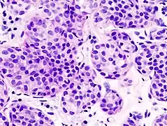
Alveolar 5% Aggregates of classical-appearing cells
Tubulolobular 5% Cells form microtubules in >90% of tumor (smaller than in tubular carcinoma)
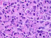
Pleomorphic Classical-appearing but with pleomorphic cells. It may include signet-ring cells, or plasmacytoid cells (pictured) which have abundant cytoplasm and eccentric nuclei.

Prognosis

Overall, the five-year survival rate of invasive lobular carcinoma was approximately 85% in 2003.[9]

Diagnosis

On mammography, ILC shows spiculated mass with ill-defined margins that has similar or lower density than surrounding breast tissues. This happens only at 44–65% of the time. Architectural distortion on surrounding breast tissues is only seen in 10–34% of the cases. It can be reported as benign in 8–16% of the mammography cases.[10]

Ultrasound has 68–98% sensitivity of detecting ILC. ILC shows irregular or angular mass with hypoechoic or heterogenous internal echoes, ill-defined or spiculated margins, and posterior acoustic shadowin.[10]

Loss of E-cadherin is common in lobular carcinoma but is also seen in other breast cancers.[11]

Treatment

Treatment includes surgery and adjuvant therapy.

References

  1. "Breast Cancer Treatment (PDQ®)". NCI. 23 May 2014. Archived from the original on 5 July 2014. Retrieved 29 June 2014.
  2. Pointon KS, Cunningham DA (August 1999). "Ultrasound findings in pure invasive lobular carcinoma of the breast: comparison with matched cases of invasive ductal carcinoma of the breast". Breast. 8 (4): 188–90. doi:10.1054/brst.1999.0042. PMID 14731438.
  3. Boughey JC, Wagner J, Garrett BJ, et al. (March 2009). "Neoadjuvant Chemotherapy in Invasive Lobular Carcinoma May Not Improve Rates of Breast Conservation". Ann. Surg. Oncol. 16 (6): 1606–11. doi:10.1245/s10434-009-0402-z. PMC 4338983. PMID 19280264.
  4. Nofal MN, Yousef AJ (December 2019). "The diagnosis of male breast cancer". The Netherlands Journal of Medicine. 77 (10): 356–359. PMID 31880271.
  5. Yang, Li-Peng; Sun, He-Fen; Zhao, Yang; Chen, Meng-Ting; Zhang, Nong; Jin, Wei (2017). "Clinicopathological characteristics and survival outcomes in pleomorphic lobular breast carcinoma of the breast: a SEER population-based study". Cancer Medicine. 6 (12): 2867–2875. doi:10.1002/cam4.1244. ISSN 2045-7634. PMC 5727339. PMID 29131529.
  6. Moore MM, Borossa G, Imbrie JZ, et al. (June 2000). "Association of Infiltrating Lobular Carcinoma With Positive Surgical Margins After Breast-Conservation Therapy". Ann. Surg. 231 (6): 877–82. doi:10.1097/00000658-200006000-00012. PMC 1421077. PMID 10816631.
  7. Spencer JT, Shutter J (March 2009). "Synchronous bilateral invasive lobular breast cancer presenting as carcinomatosis in a male". Am. J. Surg. Pathol. 33 (3): 470–4. doi:10.1097/PAS.0b013e318190d10d. PMID 19092630. S2CID 24935891.
  8. Fletcher's diagnostic histopathology of tumors. 3rd Ed. p. 931-932.
  9. Arpino G, Bardou VJ, Clark GM, Elledge RM (2004). "Infiltrating lobular carcinoma of the breast: tumor characteristics and clinical outcome". Breast Cancer Res. 6 (3): R149–56. doi:10.1186/bcr767. PMC 400666. PMID 15084238.
  10. 1 2 Lopez, January K.; Bassett, Lawrence W. (January 2009). "Invasive Lobular Carcinoma of the Breast: Spectrum of Mammographic, US, and MR Imaging Findings". RadioGraphics. 29 (1): 165–176. doi:10.1148/rg.291085100. ISSN 0271-5333. PMID 19168843.
  11. Varga Z, Mallon E (Oct 2009). "Histology and Immunophenotype of Invasive Lobular Breast Cancer. Daily Practice and Pitfalls" (PDF). Breast Dis. 30: 15–19. doi:10.3233/BD-2009-0278. PMID 19850991.
This article is issued from Wikipedia. The text is licensed under Creative Commons - Attribution - Sharealike. Additional terms may apply for the media files.