5,10-Methenyltetrahydrofolate synthetase deficiency
Other namesMTHFS deficiency
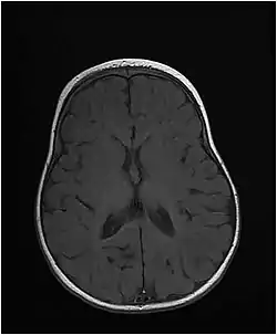
Axial T1-weighted MRI of the brain at 10 months old showing under-myelination of the internal capsules, relative under-myelination of the remainder of the subcortical white matter, and a thin corpus callosum. From an MTHFS deficiency case report by Romero et al., 2019.[1]
SymptomsMicrocephaly, short stature, and developmental delay.[2]
ComplicationsSeizures.[2]
Usual onsetBirth.
FrequencyRare

5,10-Methenyltetrahydrofolate synthetase deficiency (MTHFS deficiency) is a rare neurodevelopmental disorder caused by mutations affecting the MTHFS gene, which encodes the enzyme 5,10-Methenyltetrahydrofolate synthetase.[2]

The disease starts at birth or in early infancy and presents with microcephaly, short stature, and developmental delay. Patients develop seizures that may be hard to control. Brain imaging shows delayed myelination and hypomyelination.[2] Mutations of the MTHFS gene disrupt folate metabolism, which is very important for the proper development of the nervous system and myelination of nerve fibers.[2]

Patients present with cerebral folate deficiency, a condition in which there are reduced levels of 5-MTHF in the cerebrospinal fluid. However, contrary to other causes of cerebral folate deficiency, the use of folinic acid for treatment may be contraindicated due to excess levels of folinic acid in the organism of patients.[3]

The first case report of MTHFS deficiency was published in 2018.[2]

See also

References

  1. Romero JA, Abdelmoumen I, Hasbani D, Khurana DS, Schneider MC (December 2019). "A case of 5,10-methenyltetrahydrofolate synthetase deficiency due to biallelic null mutations with novel findings of elevated neopterin and macrocytic anemia". Molecular Genetics and Metabolism Reports. 21: 100545. doi:10.1016/j.ymgmr.2019.100545. PMC 6895676. PMID 31844630.
  2. 1 2 3 4 5 6 Rodan LH, Qi W, Ducker GS, Demirbas D, Laine R, Yang E, Walker MA, Eichler F, Rabinowitz JD, Anselm I, Berry GT (September 2018). "5,10-methenyltetrahydrofolate synthetase deficiency causes a neurometabolic disorder associated with microcephaly, epilepsy, and cerebral hypomyelination". Molecular Genetics and Metabolism. 125 (1–2): 118–126. doi:10.1016/j.ymgme.2018.06.006. PMC 6557438. PMID 30031689.
  3. Rodan, Lance (11 January 2022). "Update in pediatric neurometabolic disorders: folate and polyamine metabolism | Journal of the International Child Neurology Association". Journal of the International Child Neurology Association. 1 (1).


This article is issued from Wikipedia. The text is licensed under Creative Commons - Attribution - Sharealike. Additional terms may apply for the media files.