Lupus miliaris disseminatus faciei
| Lupus miliaris disseminatus faciei | |
|---|---|
| Other names: LMDF | |
![]() | |
| Lupus miliaris disseminatus faciei around eyelid | |
| Specialty | Dermatology |
Lupus miliaris disseminatus faciei , also known as acne agminata, is a disease with a similar appearance to acne vulgaris.[1][2]
The cause of LMDF is unknown.
LMDF usually occurs on the face, but extrafacial presentations have been reported. Mycobacterium tuberculosis or its products may cause a caseous necrosis and thus maybe one of several possible causes. Some authors view LMDF as a variant of granulomatous rosacea or a presentation related to Demodex folliculitis. Others suggest it as a new independent entity and proposed a new term: Facial Idiopathic GranUlomas with Regressive Evolution. Misago et al. postulated LMDF as a common adult form, childhood granulomatous periorificial dermatitis as a rare childhood form, and perioral dermatitis as a peculiar form exacerbated by topical corticosteroids. There are no randomized controlled trials available for the treatment of LMDF.
The usual first-line therapy is oral tetracyclines with variable success rates. Dapsone, low-dose prednisolone, clofazimine, and isotretinoin have all been tried in some cases. The 1450-nm diode laser has been shown to improve LMDF.[3]
Signs and symptoms
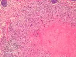
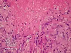
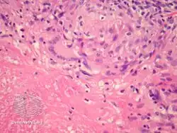
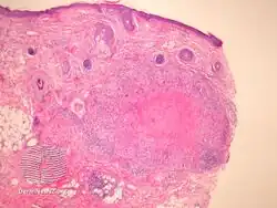
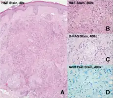
Histopathology
Lupus miliaris disseminatus faciei/pathology
Lupus miliaris disseminatus faciei/pathology
Lupus miliaris disseminatus faciei/pathology
Lupus miliaris disseminatus faciei/pathology-Dermatol_Sinica_2007%253B25(2)175-176-2.png.webp)
See also
References
- ↑ Freedberg, et al. (2003). Fitzpatrick's Dermatology in General Medicine. (6th ed.). Page 676. McGraw-Hill. ISBN 0-07-138076-0.
- ↑ Rapini, Ronald P.; Bolognia, Jean L.; Jorizzo, Joseph L. (2007). Dermatology: 2-Volume Set. St. Louis: Mosby. ISBN 978-1-4160-2999-1.
- ↑ "Wang SH, Tsai TF (2007). "Several Erythematous Papules with a 1.5-cm Sized Nodule Scattering on the Face of an Old Woman". Dermatol Sinica. 25 (2): 175-6". Archived (PDF) from the original on 2021-08-28. Retrieved 2020-12-14.
External links
| External resources |
|---|
.jpg.webp)
.jpg.webp)
.jpg.webp)