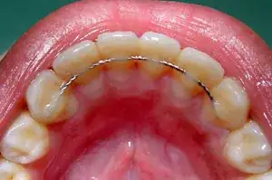
I have a permanent metal retainer glued to the back of my top teeth. I have a second one glued to the back of my bottom teeth. They were put on immediately after my braces were taken off. Here's an example of what they look like:
It is too difficult to floss under the metal retainers, so unfortunately I don't. Even the dental hygienist has trouble.
I wear my clear nighttime retainers every night and always have (for several years now). These retainers fit over all of my teeth. I'm talking about these:
Assuming I maintain my habit of wearing the clear retainers every night, can I get my permanent metal retainers out? That is, if they are removed, will my teeth shift back to their pre-braces configuration?
In other words, is wearing clear nighttime retainers for 8 hours a day adequate to prevent teeth shift?
My reason for wanting my permanent metal retainers out is to be able to floss those teeth and improve my teeth and gum hygiene. Because, as it stands right now, I am only flossing about 50% of my teeth.
My understanding is that orthodontists insist on the permanent metal retainers because nearly everyone stops wearing the clear nighttime retainers eventually. I am in the minority—people who make a concerted effort to wear the nighttime retainer until the day we die. But for those in this elite subset, is the metal retainer necessary?



