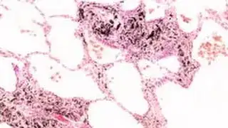
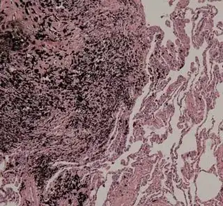
We've probably all seen photos of smokers' lungs compared to non-smokers lungs. For example:
These images are commonly used in anti-smoking materials, at least in the US, and I've never had cause to question them. However, this guy claims the images are a lie. He cites seemingly credible sources for his claim, such as these:
“Dr. Duane Carr – Professor of Surgery at the University of Tennessee College of Medicine, said this: “Smoking does not discolor the lung.”
Dr. Victor Buhler, Pathologist at St. Joseph Hospital in Kansas City: “I have examined thousands of lungs both grossly and microscopically. I cannot tell you from exmining a lung whether or not its former host had smoked.” source
Dr. Sheldon Sommers, Pathologist and Director of Laboratories at Lenox Hill Hospital, in New York: “…it is not possible grossly or microscopically, or in any other way known to me, to distinguish between the lung of a smoker or a nonsmoker. Blackening of lungs is from carbon particles, and smoking tobacco does not introduce carbon particles into the lung.” source
The author militantly believes that smokers are treated unfairly and so clearly has an agenda, which lowers his credibility. I also find it difficult to believe that thousands of pathologists and thoracic surgeons would quietly allow such blatant distortions to go unchallenged even if they do feel that the "scare factor" makes the lie justifiable.
However, I find it surprising that I can't find compelling evidence to prove the blogger is wrong. I can find no credible sources confirming the black appearance of smokers' lungs, and all the photos I can find are the same small set of images recycled so many times it's impossible to know where they came from originally. I've also confirmed that it's true that smokers are accepted as lung donors, and it seems difficult to believe that would be the case if they were routinely as grossly damaged as they appear to be in these images.
So my question is: Are smokers' lungs visibly and routinely blackened and/or discolored in the absence of lung disease?




