6

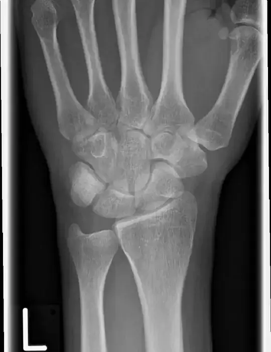
I'm a medical student. As an exercise, we got an x-ray photograph of the left hand of a patient who reports to have fallen onto this hand, and has pain at the location of the scaphoid bone. The question we have to answer is whether there might be a fracture and what to do next for the diagnosis. On the photograph, I don't see any fracture and I would simply say there is no fracture and tell the patient to wait and see. Is this too simple?

left hand

Daniel S.
  • 161
  • 1
  • 3
    The challenge here is probably a reference to a "clinical scaphoid fracture", where it is treated as a fracture with a follow-up x-ray if it clinically meets the criteria. – Chris Apr 24 '19 at 15:20

1 Answers1

7

I also don't see any fracture in the scaphoid, but "fractures of the scaphoid are not visible in about 16% of cases on initial radiographs" (Clinical scaphoid fracture, PubMed, 2011).

When symptoms suggest scaphoid fracture, but no fracture is seen on a radiograph, the current approach is to consider it as a "clinical scaphoid fracture," immobilize the wrist and take another radiograph after 14 days. The article linked above criticizes this approach and recommends performing an early CT, MRI or scintigraphy to rule out other causes, such as distal radius fracture and tendon strain (see also aafp.org, Table 1).

Jan
  • 15,851
  • 24
  • 70
  • 3
    Exactly - the point of the question is to prompt you to remember that a scaphoid fracture is a type of injury that is sometimes occult, resulting in a FALSE NEGATIVE Xray image, that therefore must be judged clinically rather than relying 100% on radiography. – DoctorWhom Apr 25 '19 at 16:37