
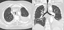
CT scan of a saber-sheath trachea in a patient with COPD
A saber-sheath trachea also known as scabbard trachea is a trachea that has an abnormal shape. The posterior area of the trachea increases in diameter while the lateral measurement decreases.
Causes
It can occur in chronic obstructive pulmonary disease or prolonged bilateral compression on it as in goitre.
References
- Mosby's Medical, Nursing, & Allied Health Dictionary. Edition 5, 1998 p7B48.
This article is issued from Wikipedia. The text is licensed under Creative Commons - Attribution - Sharealike. Additional terms may apply for the media files.