Pyogenic liver abscess
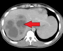
A large pyogenic liver abscess presumed to be the result of appendicitis
SpecialtyGastroenterology Edit this on Wikidata

A pyogenic liver abscess is a type of liver abscess caused by bacteria.

Signs and symptoms

Acute abscess

Chronic abscess

  • Fever
  • Abdominal discomfort
  • Enlarged liver

Cause

  • Biliary disease (most common)

E.g.: stones, cholangiocarcinoma

  • Colonic disease

E.g.: diverticulitis, appendicitis, Crohn's disease

E.g.: penetrating injury, iatrogenic (radiofrequency ablation)

Common bacterial causes

Diagnosis

To differentiate pyogenic liver abscess from amoebic liver abscess, several features such as subjects with age more than 50 years with lungs involvement, multiple liver abscesses, with amoebic serologic titres less than 1:256 can help to pin down the diagnosis of pyogenic liver abscess.[1]

Treatment

  1. Antibiotics
  2. Percutaneous drainage under USG or CT control
  3. Laparotomy in intra-abdominal disease

References

  1. Lodhi S, Sarwari AR, Muzammil M, Salam A, Smego RA (June 2004). "Features distinguishing amoebic from pyogenic liver abscess: a review of 577 adult cases". Tropical Medicine & International Health. 9 (6): 718–23. doi:10.1111/j.1365-3156.2004.01246.x. PMID 15189463. S2CID 12288711.
This article is issued from Wikipedia. The text is licensed under Creative Commons - Attribution - Sharealike. Additional terms may apply for the media files.