Focal nodular hyperplasia
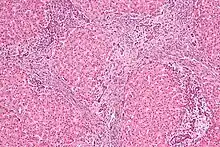
Micrograph of focal nodular hyperplasia. H&E stain.
SpecialtyGastroenterology Edit this on Wikidata

Focal nodular hyperplasia is a benign tumor of the liver (hepatic tumor), which is the second most prevalent tumor of the liver after hepatic hemangioma.[1] It is usually asymptomatic, rarely grows or bleeds, and has no malignant potential.[2] This tumour was once often resected because it was difficult to distinguish from hepatic adenoma, but with modern multiphase imaging it is usually now diagnosed by strict imaging criteria and not resected.

Presentation

Ultrasound of malformed vessels within the fibrous scar of focal nodular hyperplasia.
Liver tumor types by relative incidence in adults in the United States, with focal nodular hyperplasia at right.[3]

Focal nodular hyperplasia's most recognizable gross feature is a central stellate scar seen in 60–70% of cases. Microscopically, a lobular proliferation of bland-appearing hepatocytes with a bile ductular proliferation and malformed vessels within the fibrous scar is the most common pattern. Other patterns include telangiectatic, hyperplastic-adenomatous, and lesions with focal large-cell dysplasia.[4] Rarely, these lesions may be multiple or can occur as part of a syndrome with hemangiomas, epithelioid hemangioendothelioma, hepatic adenomas, fibrolamellar hepatocellular carcinoma, vascular malformations of the brain, meningiomas, and/or astrocytomas.[4]

Pathophysiology

Focal nodular hyperplasia is not a neoplasm; it is believed to result from localized hyperplastic hepatocyte response to an underlying congenital arteriovenous malformation.[2] It consists of normal liver constituents in an abnormally organized pattern, grows in a stellate pattern and may display central necrosis when large.[5] Additionally evidence suggests that the incidence of focal nodular hyperplasia is related to oral contraceptive use.[6]

Diagnosis

Unenhanced CT or MRI usually does not show the difference in intensity between the focal nodular hyperplasia and surrounding liver except when there is marked liver steatosis that reduces the attenuation of the liver, causing focal nodular hyperplasiato be hyperattenuating when compared with the surrounding liver. In the arterial phase CT or MRI, there is a strong enhancement not followed by washout. The lesion presents a slight hyperintensity or isodensity on portal venous phase or delayed phase images. There is also a presence of a central scar and absence of a capsule for the focal nodular hyperplasia.[7]

Treatment

Frequent monitoring through periodic imaging at intervals of three to six months is advised. Nevertheless, in cases where a patient exhibits symptoms, when there are suspicions of an underlying malignancy following an inconclusive biopsy, or when a lesion demonstrates sustained growth, medical professionals commonly opt for a biopsy or surgical removal. Surgical resection remains the established and definitive course of treatment.[8]

Epidemiology

The prevalence of focal nodular hyperplasia in individuals undergoing evaluation with an ultrasound of the abdomen is 0.03%.[9] About 20% of focal nodular hyperplasia lesions are associated with hepatic hemangiomas.[9]

Notes

  1. Naganuma, Hiroko; Ishida, Hideaki; Ogawa, Masahiro; Watanabe, Yukinobu; Watanabe, Daisuke; Ohyama, Yoko; Watanabe, Takako (January 2017). "Focal nodular hyperplasia: our experience of 53 Japanese cases". Journal of Medical Ultrasonics (2001). 44 (1): 79–88. doi:10.1007/s10396-016-0734-9. ISSN 1613-2254. PMID 27550510. S2CID 21303953.
  2. 1 2 Hamad, Sammy; Willyard, Charles E.; Mukherjee, Sandeep (2023), "Focal Nodular Hyperplasia", StatPearls, Treasure Island (FL): StatPearls Publishing, PMID 30335277, retrieved 2023-11-03
  3. Table 37.2 in: Sternberg, Stephen (2012). Sternberg's diagnostic surgical pathology. Place of publication not identified: LWW. ISBN 978-1-4511-5289-0. OCLC 953861627.
  4. 1 2 Nguyen, Bich N.; Fléjou, Jean-François; Terris, Benoit; Belghiti, Jacques; Degott, Claude (1999). "Focal Nodular Hyperplasia of the Liver". The American Journal of Surgical Pathology. 23 (12): 1441–54. doi:10.1097/00000478-199912000-00001. PMID 10584697.
  5. Imaging in Focal Nodular Hyperplasia at eMedicine
  6. Scalori, Astrid; Tavani, Alessandra; Gallus, Silvano; La Vecchia, Carlo; Colombo, Massimo (2002). "Oral contraceptives and the risk of focal nodular hyperplasia of the liver: A case-control study". American Journal of Obstetrics and Gynecology. 186 (2): 195–7. doi:10.1067/mob.2002.120277. PMID 11854634.
  7. Dioguardi Burgio, Marco; Ronot, Maxime; Salvaggio, Giuseppe; Vilgrain, Valérie; Brancatelli, Giuseppe (December 2016). "Imaging of Hepatic Focal Nodular Hyperplasia: Pictorial Review and Diagnostic Strategy". Seminars in Ultrasound, CT and MRI. 37 (6): 511–524. doi:10.1053/j.sult.2016.08.001. PMID 27986170.
  8. Fodor, Margot; Primavesi, Florian; Braunwarth, Eva; Cardini, Benno; Resch, Thomas; Bale, Reto; Putzer, Daniel; Henninger, Benjamin; Oberhuber, Rupert; Maglione, Manuel; Margreiter, Christian; Schneeberger, Stefan; Öfner, Dietmar; Stättner, Stefan (2018). "Indications for liver surgery in benign tumours". European Surgery. 50 (3): 125–131. doi:10.1007/s10353-018-0536-y. ISSN 1682-8631. PMC 5968066. PMID 29875801.
  9. 1 2 Myers, L; Ahn, J (August 2020). "Focal Nodular Hyperplasia and Hepatic Adenoma: Evaluation and Management". Clinics in Liver Disease. 24 (3): 389–403. doi:10.1016/j.cld.2020.04.013. PMID 32620279. S2CID 220335859.

References

This article is issued from Wikipedia. The text is licensed under Creative Commons - Attribution - Sharealike. Additional terms may apply for the media files.