Learn More
See, Play and Learn
Research
Resources
For You
Summary
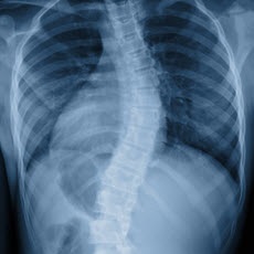
Scoliosis causes a sideways curve of your backbone, or spine. These curves are often S- or C-shaped. Scoliosis is most common in late childhood and the early teens, when children grow fast. Girls are more likely to have it than boys. It can run in families. Symptoms include leaning to one side and having uneven shoulders and hips. Sometimes it is easy to notice, but not always.
Children may get screening for scoliosis at school or during a checkup. If it looks like there is a problem, your doctor will use your medical and family history, a physical exam, and imaging tests to make a diagnosis. Treatment depends on your age, how much more you're likely to grow, how much curving there is, and whether the curve is temporary or permanent. People with mild scoliosis might only need checkups to see if the curve is getting worse. Others might need to wear a brace or have surgery.
NIH: National Institute of Arthritis and Musculoskeletal and Skin Diseases
Diagnosis and Tests
- X-Ray Exam: Scoliosis (Nemours Foundation)
Treatments and Therapies
- Diagnosis and Treatment (Scoliosis Research Society)
- Halo-Gravity Traction (Nemours Foundation) Also in Spanish
Related Issues
- Thoracic Insufficiency Syndrome (Scoliosis Research Society)
Specifics
- Congenital Scoliosis (Nemours Foundation)
- Neuromuscular Scoliosis (Scoliosis Research Society)
- Scoliosis (Scoliosis Research Society)
Genetics
-
Adolescent idiopathic scoliosis: MedlinePlus Genetics
(National Library of Medicine)
-
Horizontal gaze palsy with progressive scoliosis: MedlinePlus Genetics
(National Library of Medicine)
-
Spondylocostal dysostosis: MedlinePlus Genetics
(National Library of Medicine)
Images
- Spinal fusion - series (Medical Encyclopedia) Also in Spanish
Clinical Trials
-
ClinicalTrials.gov: Scoliosis
(National Institutes of Health)
Journal Articles References and abstracts from MEDLINE/PubMed (National Library of Medicine)
- Article: Association between bone mineral density and scoliosis: a two-sample mendelian randomization...
- Article: Two-stage surgery with oblique lateral interbody fusion and posterior fixation in...
- Article: Comparative efficacy of six types of scoliosis-specific exercises on adolescent idiopathic...
- Scoliosis -- see more articles
Find an Expert
Children
-
Scoliosis in Children and Teens
(National Institute of Arthritis and Musculoskeletal and Skin Diseases)
Also in Spanish
Teenagers
- Early Onset Scoliosis (Scoliosis Research Society)
Patient Handouts
- Cervical MRI scan (Medical Encyclopedia) Also in Spanish
- Scoliosis (Medical Encyclopedia) Also in Spanish
- Scoliosis surgery in children (Medical Encyclopedia) Also in Spanish
- Spinal fusion (Medical Encyclopedia) Also in Spanish
- Thoracic spine x-ray (Medical Encyclopedia) Also in Spanish