Basics
Learn More
See, Play and Learn
- No links available
Research
Resources
For You
Summary
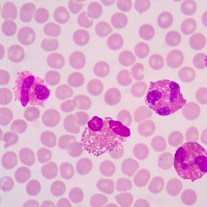
Eosinophils are a type of white blood cell. They help fight off infections and play a role in your body's immune response. They can also build up and cause inflammation.
Normally your blood doesn't have a large number of eosinophils. Your body may produce more of them in response to:
- Allergic disorders
- Skin conditions
- Parasitic and fungal infections
- Autoimmune diseases
- Some cancers
- Bone marrow disorders
In some conditions, the eosinophils can move outside the bloodstream and build up in organs and tissues. This can happen in many different parts of the body, including the esophagus, heart, lungs, blood, and intestines. Treatment of eosinophilic disorders can vary, depending on the cause and which part of the body is affected. Steroids are often part of the treatment.
Diagnosis and Tests
-
Upper GI Endoscopy
(National Institute of Diabetes and Digestive and Kidney Diseases)
Also in Spanish
Living With
- Feeding Tubes (American Partnership for Eosinophilic Disorders)
Specifics
- Churg-Strauss Syndrome (Mayo Foundation for Medical Education and Research)
- Eosinophilic Fasciitis (Merck & Co., Inc.)
- Eosinophilic Granulomatosis with Polyangiitis, formerly Churg-Strauss Syndrome (EGPA) (Johns Hopkins Vasculitis Center)
- Eosinophilic Lung Diseases and Disorders (National Jewish Health)
- Hypereosinophilic Syndrome (HES) (American Partnership for Eosinophilic Disorders)
Genetics
-
Eosinophil peroxidase deficiency: MedlinePlus Genetics
(National Library of Medicine)
-
PDGFRA-associated chronic eosinophilic leukemia: MedlinePlus Genetics
(National Library of Medicine)
-
PDGFRB-associated chronic eosinophilic leukemia: MedlinePlus Genetics
(National Library of Medicine)
Clinical Trials
-
ClinicalTrials.gov: Churg-Strauss Syndrome
(National Institutes of Health)
-
ClinicalTrials.gov: Eosinophilia
(National Institutes of Health)
-
ClinicalTrials.gov: Hypereosinophilic Syndrome
(National Institutes of Health)
Journal Articles References and abstracts from MEDLINE/PubMed (National Library of Medicine)
- Article: Eosinophilic gastroenteritis: Imaging spectrum on intestinal ultrasonography and CT enterography.
- Article: Prediction of helminthiases in travellers and migrants with eosinophilia: a cohort...
- Article: Predictors of duodenal eosinophil counts among subjects undergoing diagnostic endoscopy.
- Eosinophilic Disorders -- see more articles
Reference Desk
- Eosinophilic Disorders Glossary (American Partnership for Eosinophilic Disorders)
Children
- About Eosinophilic Disorders (Children's Hospital of Philadelphia)
Patient Handouts
- Eosinophil count - absolute (Medical Encyclopedia) Also in Spanish
- Eosinophilic fasciitis (Medical Encyclopedia) Also in Spanish
- Simple pulmonary eosinophilia (Medical Encyclopedia) Also in Spanish