
Overview
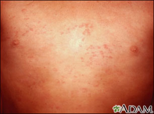
The hives (urticaria) on this person's chest have the typical slightly-raised red appearance and are accompanied by itching. Hives can be generalized over the entire body or may be localized.
Review Date 5/31/2023
Updated by: Ramin Fathi, MD, FAAD, Director, Phoenix Surgical Dermatology Group, Phoenix, AZ. Also reviewed by David C. Dugdale, MD, Medical Director, Brenda Conaway, Editorial Director, and the A.D.A.M. Editorial team.