
Overview
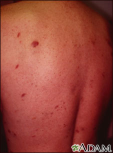
Kaposi sarcoma was once a rare malignancy of the blood vessels but is now associated with AIDS. It is more frequently associated with AIDS in homosexual men than AIDS in IV drug users. Recent research has suggested that this malignancy may be caused by a newly discovered herpes virus. The malignancy results in purplish, grape-like lesions in the skin, gastrointestinal tract, and other organs.
Review Date 5/19/2023
Updated by: Jatin M. Vyas, MD, PhD, Associate Professor in Medicine, Harvard Medical School; Associate in Medicine, Division of Infectious Disease, Department of Medicine, Massachusetts General Hospital, Boston, MA. Also reviewed by David C. Dugdale, MD, Medical Director, Brenda Conaway, Editorial Director, and the A.D.A.M. Editorial team.