
Overview
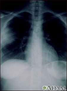
Aspergillosis is a fungal infection. The fungus invades and destroys tissue. This type of infection usually occurs in immunocompromised individuals. Here, a chest x-ray shows that the fungus has invaded the lung tissue. The lungs are usually seen as black areas on an x-ray. The cloudiness on the left side of this x-ray is caused by the fungus.
Review Date 5/19/2023
Updated by: Jatin M. Vyas, MD, PhD, Associate Professor in Medicine, Harvard Medical School; Associate in Medicine, Division of Infectious Disease, Department of Medicine, Massachusetts General Hospital, Boston, MA. Also reviewed by David C. Dugdale, MD, Medical Director, Brenda Conaway, Editorial Director, and the A.D.A.M. Editorial team.