
Overview
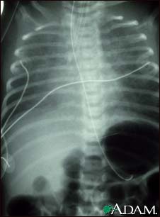
Totally anomalous pulmonary venous return (TAPVR) is a form of congenital heart disease. This x-ray shows an enlarged heart, a large liver, and increased pulmonary vascularity.
Review Date 10/23/2023
Updated by: Michael A. Chen, MD, PhD, Associate Professor of Medicine, Division of Cardiology, Harborview Medical Center, University of Washington Medical School, Seattle, WA. Also reviewed by David C. Dugdale, MD, Medical Director, Brenda Conaway, Editorial Director, and the A.D.A.M. Editorial team.