
Overview
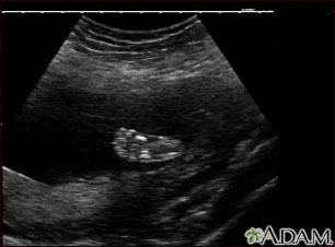
This is a normal ultrasound of a fetus at 19 weeks gestation. The right foot, including the developing bones, are clearly visible in the middle of the screen.
Review Date 3/31/2024
Updated by: LaQuita Martinez, MD, Department of Obstetrics and Gynecology, Emory Johns Creek Hospital, Alpharetta, GA. Also reviewed by David C. Dugdale, MD, Medical Director, Brenda Conaway, Editorial Director, and the A.D.A.M. Editorial team.