
Overview
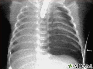
Pneumothorax occurs when air leaks from inside of the lung to the space between the lung and the chest wall. The lung then collapses. The dark side of the chest (right side of the picture) is filled with air that is outside of the lung tissue.
Review Date 1/2/2023
Updated by: Jesse Borke, MD, CPE, FAAEM, FACEP, Attending Physician at Kaiser Permanente, Orange County, CA. Also reviewed by David C. Dugdale, MD, Medical Director, Brenda Conaway, Editorial Director, and the A.D.A.M. Editorial team.