
Overview
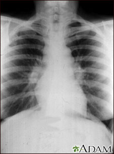
Sarcoid is primarily a lung (pulmonary) disease. In the early stages, a chest film may show enlargement of lymph nodes in the center of the chest near the heart (mediastinum).
Review Date 5/3/2023
Updated by: Denis Hadjiliadis, MD, MHS, Paul F. Harron, Jr. Professor of Medicine, Pulmonary, Allergy, and Critical Care, Perelman School of Medicine, University of Pennsylvania,Philadelphia, PA. Also reviewed by David C. Dugdale, MD, Medical Director, Brenda Conaway, Editorial Director, and the A.D.A.M. Editorial team.