
Overview
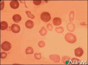
Thalassemia major is an inherited form of hemolytic anemia, characterized by red blood cell (hemoglobin) production abnormalities. This is the most severe form of anemia, and the oxygen depletion in the body becomes apparent within the first 6 months of life. If left untreated, death usually results within a few years. Note the small, pale (hypochromic), abnormally-shaped red blood cells associated with thalassemia major. The darker cells likely represent normal RBCs from a blood transfusion.
Review Date 3/31/2024
Updated by: Todd Gersten, MD, Hematology/Oncology, Florida Cancer Specialists & Research Institute, Wellington, FL. Review provided by VeriMed Healthcare Network. Also reviewed by David C. Dugdale, MD, Medical Director, Brenda Conaway, Editorial Director, and the A.D.A.M. Editorial team.