
Overview
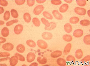
Red blood cells (RBCs) are normally round. In ovalocytosis, the cells are oval. Other conditions that produce abnormally shaped RBCs include spherocytosis and elliptocytosis.Review Date 3/31/2024
Updated by: Todd Gersten, MD, Hematology/Oncology, Florida Cancer Specialists & Research Institute, Wellington, FL. Review provided by VeriMed Healthcare Network. Also reviewed by David C. Dugdale, MD, Medical Director, Brenda Conaway, Editorial Director, and the A.D.A.M. Editorial team.