
Overview
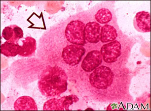
This picture shows a normal osteoclast. It is a large cell with separately identifiable, multiple nuclei. Osteoclasts are needed to repair bone.
Review Date 2/8/2024
Updated by: Linda J. Vorvick, MD, Clinical Professor, Department of Family Medicine, UW Medicine, School of Medicine, University of Washington, Seattle, WA. Also reviewed by David C. Dugdale, MD, Medical Director, Brenda Conaway, Editorial Director, and the A.D.A.M. Editorial team.