
Overview
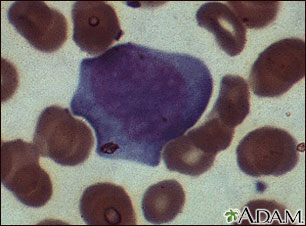
This so-called "Downy cell" is typical of lymphocytes infected by EBV (Epstein Barr Virus) or CMV (Cytomegalovirus) in infectious mononucleosis. Downy cells may be classified as types I, II, or III. This is a type II Downy cell.
Review Date 3/16/2024
Updated by: Jatin M. Vyas, MD, PhD, Associate Professor in Medicine, Harvard Medical School; Associate in Medicine, Division of Infectious Disease, Department of Medicine, Massachusetts General Hospital, Boston, MA. Also reviewed by David C. Dugdale, MD, Medical Director, Brenda Conaway, Editorial Director, and the A.D.A.M. Editorial team.