
Overview
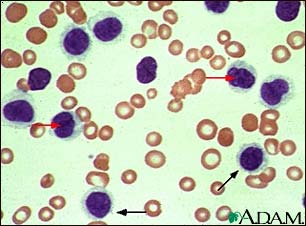
All the cells in this field are hairy cells. The cell membranes appear irregular and serrated. The cytoplasm stains light blue (black arrows). The nuclei tend to be irregular (red arrows).
Review Date 6/17/2024
Updated by: Todd Gersten, MD, Hematology/Oncology, Florida Cancer Specialists & Research Institute, Wellington, FL. Review provided by VeriMed Healthcare Network. Also reviewed by David C. Dugdale, MD, Medical Director, Brenda Conaway, Editorial Director, and the A.D.A.M. Editorial team.