
Overview
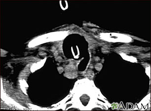
This CT scan of the upper chest (thorax) shows a malignant thyroid tumor (cancer). The dark area around the trachea (marked by the white U-shaped tip of the respiratory tube) is an area where normal tissue has been eroded and died (necrosis) as a result of tumor growth.
Review Date 3/31/2024
Updated by: Todd Gersten, MD, Hematology/Oncology, Florida Cancer Specialists & Research Institute, Wellington, FL. Review provided by VeriMed Healthcare Network. Also reviewed by David C. Dugdale, MD, Medical Director, Brenda Conaway, Editorial Director, and the A.D.A.M. Editorial team.