
Overview
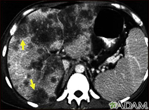
A CT scan of the upper abdomen showing a widespread (disseminated) carcinoma of the liver (hepato cellular carcinoma). The liver is the large organ on the left side of the picture. Note the moth-eaten appearance.
Review Date 3/31/2024
Updated by: Todd Gersten, MD, Hematology/Oncology, Florida Cancer Specialists & Research Institute, Wellington, FL. Review provided by VeriMed Healthcare Network. Also reviewed by David C. Dugdale, MD, Medical Director, Brenda Conaway, Editorial Director, and the A.D.A.M. Editorial team.