
Overview
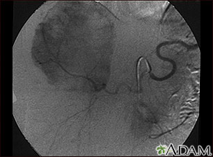
This angiogram (an X-ray taken after dye has been injected into the blood stream) shows a mass of blood vessels (hemangioma) in the liver.
Review Date 5/2/2023
Updated by: Michael M. Phillips, MD, Emeritus Professor of Medicine, The George Washington University School of Medicine, Washington, DC. Also reviewed by David C. Dugdale, MD, Medical Director, Brenda Conaway, Editorial Director, and the A.D.A.M. Editorial team.