
Overview
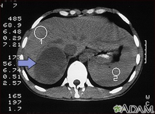
CT scan of the upper abdomen in a person with a right adrenal mass. The adrenal glands are located above the kidneys.
Review Date 5/12/2023
Updated by: Sandeep K. Dhaliwal, MD, board-certified in Diabetes, Endocrinology, and Metabolism, Springfield, VA. Also reviewed by David C. Dugdale, MD, Medical Director, Brenda Conaway, Editorial Director, and the A.D.A.M. Editorial team.