Zosteriform metastasis
| Zosteriform metastasis | |
|---|---|
![]() | |
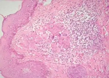
| Glandular arrangement of malignant cells with prominent nuclei and nucleoli | |
| Frequency | Lua error in Module:PrevalenceData at line 5: attempt to index field 'wikibase' (a nil value). |
Zosteriform metastasis is the spread of visceral carcinomas to the skin in dermatomal crops of succulent nodules.[1]
See also
References
- ↑ Rapini, Ronald P.; Bolognia, Jean L.; Jorizzo, Joseph L. (2007). Dermatology: 2-Volume Set. St. Louis: Mosby. p. 1899. ISBN 978-1-4160-2999-1.
This article is issued from Wmcloud. The text is licensed under Creative Commons - Attribution - Sharealike. Additional terms may apply for the media files.
