Weber–Christian disease
| Weber–Christian disease | |
|---|---|
| Other names: Relapsing febrile nodular nonsuppurative panniculitis | |
![]() | |
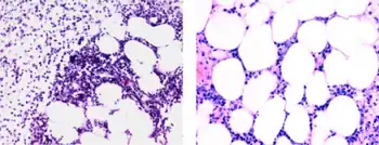
| Sections show predominantly lobular panniculitis with mixed inflammatory cell infiltration | |
Weber–Christian disease, (Pfeifer-Weber-Christian disease [1])is a cutaneous condition characterized by recurrent subcutaneous nodules that heal with depression of the overlying skin.[2]
It is a type of panniculitis.[3] It is a rare disease seen in females 30–60 years of age. It is a recurring inflammation of fatty layers of tissue present beneath the skin. Clinical course is characterised by exacerbations and remissions. Lesions are bilaterally symmetrical and are usually seen in the lower legs.
Eponym
It is named after[4] Frederick Parkes Weber[5] and Henry Asbury Christian.[6]
See also
References
- ↑ "Weber-Christian Disease: Background, Pathophysiology, Etiology". Medscape. 9 July 2020. Archived from the original on 15 February 2022. Retrieved 1 March 2022.
- ↑ Rapini, Ronald P.; Bolognia, Jean L.; Jorizzo, Joseph L. (2007). Dermatology: 2-Volume Set. St. Louis: Mosby. ISBN 978-1-4160-2999-1.
- ↑ "Weber-Christian disease" at Dorland's Medical Dictionary
- ↑ Weber–Christian disease at Who Named It?
- ↑ Weber, F. Parkes (July 1925). "A CASE OF RELAPSING NON-SUPPURATIVE NODULAR PANNICULITIS, SHOWING PHAGOCYTOSIS OF SUBCUTANEOUS FAT-CELLS BY MACROPHAGES.*". British Journal of Dermatology. 37 (7): 301–311. doi:10.1111/j.1365-2133.1925.tb10003.x.
- ↑ Christian, Henry Asbury (1 September 1928). "Relapsing febrile nodular nonsuppurative panniculitis". Archives of Internal Medicine. Chicago. 42 (3): 338. doi:10.1001/archinte.1928.00020020026004.
External links
| Classification | |
|---|---|
| External resources |
This article is issued from Wmcloud. The text is licensed under Creative Commons - Attribution - Sharealike. Additional terms may apply for the media files.
