Vasitis nodosa
| Vasitis nodosa | |
|---|---|
![]() | |
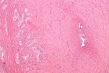
| Micrograph of vasitis nodosa (left of image). H&E stain. | |
| Specialty | Urology |
Vasitis nodosa is a complication experienced in approximately 66% of men who undergo vasectomy.[1] It is a benign nodular thickening of the vas deferens, in which small offshoots proliferate, infiltrating surrounding tissue.[2] It can be mistaken for low-grade adenocarcinoma by pathologists,[3] and is implicated in late vasectomy failure.[2]
See also
References
- ↑ Taxy JB, Marshall FF, Erlichman RJ (December 1981). "Vasectomy: subclinical pathologic changes". Am. J. Surg. Pathol. 5 (8): 767–72. doi:10.1097/00000478-198112000-00005. PMID 7337163. S2CID 19752414.
- 1 2 Hirschowitz L, Rode J, Guillebaud J, Bounds W, Moss E (April 1988). "Vasitis nodosa and associated clinical findings". J. Clin. Pathol. 41 (4): 419–23. doi:10.1136/jcp.41.4.419. PMC 1141468. PMID 3366928.
- ↑ Deshpande RB, Deshpande J, Mali BN, Kinare SG (April 1985). "Vasitis nodosa (a report of 7 cases)". J Postgrad Med. 31 (2): 105–8. PMID 4057111.
This article is issued from Wmcloud. The text is licensed under Creative Commons - Attribution - Sharealike. Additional terms may apply for the media files.
