Tufted angioma
| Tufted angioma | |
|---|---|
![]() | |
| Tufted angioblastoma | |
| Specialty | Dermatology |
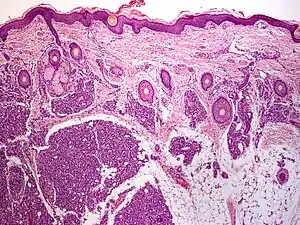
A tufted angioma (also known as an "acquired tufted angioma," "angioblastoma," "angioblastoma of Nakagawa," "hypertrophic hemangioma," "progressive capillary hemangioma," and "tufted hemangioma"[1][2]) usually develops in infancy or early childhood on the neck and upper trunk, and is an ill-defined, dull red flat mark with a mottled appearance, varying from 2 to 5 cm in diameter.[2]: 596
It is rare, and males and females are affected equally.[3]
Treatment

a) Firm asymptomatic nodule b) 6 months (after removal)
See also
References
- ↑ Rapini, Ronald P.; Bolognia, Jean L.; Jorizzo, Joseph L. (2007). Dermatology: 2-Volume Set. St. Louis: Mosby. p. 1779. ISBN 1-4160-2999-0.
- 1 2 James, William; Berger, Timothy; Elston, Dirk (2005). Andrews' Diseases of the Skin: Clinical Dermatology. (10th ed.). Saunders. ISBN 0-7216-2921-0.
- ↑ DE, Elder; D, Massi; RA, Scolyer; R, Willemze (2018). "Soft tissue tumours: Tufted angioma". WHO Classification of Skin Tumours. Vol. 11 (4th ed.). Lyon (France): World Health Organization. p. 350. ISBN 978-92-832-2440-2. Archived from the original on 2022-07-11. Retrieved 2022-08-08.
External links
| Classification | |
|---|---|
| External resources |
This article is issued from Wmcloud. The text is licensed under Creative Commons - Attribution - Sharealike. Additional terms may apply for the media files.
