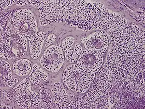
Trichilemmal carcinoma
| Trichilemmal carcinoma | |
|---|---|
| Other names: Tricholemmal carcinoma | |
![]() | |
Trichilemmal carcinoma is a cutaneous condition reported to arise on sun-exposed areas, most commonly the face and ears.[1]: 674

Swelling of upper eyelid and a palpable, nontender, movable mass on the left eyelid.
See also
A similar tumor, although in the nail bed, is called onycholemmal.[2][3]
References
- ↑ James, William D.; Berger, Timothy G.; et al. (2006). Andrews' Diseases of the Skin: Clinical Dermatology. Saunders Elsevier. ISBN 0-7216-2921-0.
- ↑ "Archive copy". Archived from the original on 2013-05-02. Retrieved 2020-12-18.
{{cite web}}: More than one of|archivedate=and|archive-date=specified (help); More than one of|archiveurl=and|archive-url=specified (help)CS1 maint: archived copy as title (link) - ↑ Onycholemmal carcinoma. Rashid RM, Cutlan JE. Dermatol Online J. 2010 Mar 15;16(3):12.
External links
| Classification |
|---|
Template:Epidermal-growth-stub
This article is issued from Wmcloud. The text is licensed under Creative Commons - Attribution - Sharealike. Additional terms may apply for the media files.
