Tiabendazole

Tiabendazole
Names
Trade namesMintezol, others
IUPAC name
  • 4-(1H-1,3-Benzodiazol-2-yl)-1,3-thiazole
Clinical data
WHO AWaReUnlinkedWikibase error: ⧼unlinkedwikibase-error-statements-entity-not-set⧽
Pregnancy
category
  • AU: B3
    Routes of
    use
    By mouth, topical
    External links
    AHFS/Drugs.comInternational Drug Names
    Legal
    Legal status
    • AU: S4 (Prescription only)
    • In general: ℞ (Prescription only)
    Pharmacokinetics
    BioavailabilityСmax 1–2 hours (oral administration)
    MetabolismGI tract
    Elimination half-life8 hours
    ExcretionUrine (90%)
    Identifiers
    CAS Number
    • 148-79-8 checkY
    PubChem CID
    IUPHAR/BPS
    DrugBank
    ChemSpider
    UNII
    KEGG
    ChEMBL
    NIAID ChemDB
    ATC code
    Chemical and physical data
    FormulaC10H7N3S
    Molar mass201.25 g·mol−1
    3D model (JSmol)
    Density1.103 g/cm3
    Melting point293 to 305 °C (559 to 581 °F)
    SMILES
    • [nH]1c2ccccc2nc1c3cscn3
    InChI
    • InChI=1S/C10H7N3S/c1-2-4-8-7(3-1)12-10(13-8)9-5-14-6-11-9/h1-6H,(H,12,13) ☒N
    • Key:WJCNZQLZVWNLKY-UHFFFAOYSA-N ☒N

    Tiabendazole (INN, BAN), also known as thiabendazole (AAN, USAN) or TBZ and the trade names Mintezol, Tresaderm, and Arbotect, is a preservative,[1] an antifungal agent, and an antiparasitic agent.

    Uses

    Preservative

    Tiabendazole is used primarily to control mold, blight, and other fungal diseases in fruits (e.g. oranges) and vegetables; it is also used as a prophylactic treatment for Dutch elm disease.

    Tiabendazole is also used as a food additive,[2][3] a preservative with E number E233 (INS number 233). For example, it is applied to bananas to ensure freshness, and is a common ingredient in the waxes applied to the skins of citrus fruits. It is not approved as a food additive in the EU,[4] Australia and New Zealand.[5]

    Use in treatment of aspergillosis has been reported.[6]

    It is also used in anti-fungal wallboards as a mixture with azoxystrobin.

    Parasiticide

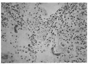
    Hyperinfection with strongyloides stercoralis-Larvae in gastric mucosa[7]

    As an antiparasitic, tiabendazole is able to control roundworms (such as those causing strongyloidiasis),[8] hookworms, and other helminth species which infect wild animals, livestock, and humans.[9]

    Other

    In dogs and cats, tiabendazole is used to treat ear infections.

    Tiabendazole is also a chelating agent, which means it is used medicinally to bind metals in cases of metal poisoning, such as lead, mercury, or antimony poisoning.

    Research

    Genes responsible for the maintenance of cell walls in yeast have been shown to be responsible for angiogenesis in vertebrates. Tiabendazole serves to block angiogenesis in both frog embryos and human cells. It has also been shown to serve as a vascular disrupting agent to reduce newly established blood vessels. Tiabendazole has been shown to effectively do this in certain cancer cells.[10]

    Pharmacodynamics

    Tiabendazole works by inhibition of the mitochondrial, helminth-specific enzyme, fumarate reductase, with possible interaction with endogenous quinone.[11]

    Safety

    The substance appears to have a slight toxicity in higher doses, with effects such as liver and intestinal disorders at high exposure in test animals (just below LD50 level). Some reproductive disorders and decreasing weaning weight have been observed, also at high exposure. Effects on humans from use as a drug include nausea, vomiting, loss of appetite, diarrhea, dizziness, drowsiness, or headache; very rarely also ringing in the ears, vision changes, stomach pain, yellowing eyes and skin, dark urine, fever, fatigue, increased thirst and change in the amount of urine occur. Carcinogenic effects have been shown at higher doses.[12]

    Synthesis

    Intermediate arylamidine 2 is prepared by aluminium trichloride-catalyzed addition of aniline to the nitrile of 4-cyanothiazole (1).[13][14] The amidine (2) is then converted to its N-chloro derivative 3 with sodium hypochlorite (NaOCl). Upon treatment with base, this undergoes a nitrene insertion reaction (4) to produce tiabendazole (5).

    Tiabendazole synthesis

    An alternative synthesis involves reacting 4-thiazolecarboxamide with o-phenylenediamine in polyphosphoric acid.[15]

    Derivatives

    A number of derivatives of tiabendazole are also pharmaceutical drugs, including albendazole, cambendazole, fenbendazole, oxfendazole, mebendazole, and flubendazole.

    Preparation of cambendazole[16][17]

    See also

    • Fungicide use in the United States
    • List of fungicides

    References

    1. "E233 : E Number : Preservative". www.ivyroses.com. Archived from the original on 2018-08-28. Retrieved 2018-08-28. {{cite web}}: More than one of |archivedate= and |archive-date= specified (help); More than one of |archiveurl= and |archive-url= specified (help)
    2. Rosenblum, C (March 1977). "Non-Drug-Related Residues in Tracer Studies". Journal of Toxicology and Environmental Health. 2 (4): 803–14. doi:10.1080/15287397709529480. PMID 853540.
    3. Sax, N.I. Dangerous Properties of Industrial Materials. Vol 1-3 7th ed. New York, NY: Van Nostrand Reinhold, 1989., p. 3251
    4. UK Food Standards Agency: "Current EU approved additives and their E Numbers". Archived from the original on 2010-10-07. Retrieved 2011-10-27. {{cite web}}: More than one of |archivedate= and |archive-date= specified (help); More than one of |archiveurl= and |archive-url= specified (help)
    5. Australia New Zealand Food Standards Code"Standard 1.2.4 – Labelling of ingredients". Archived from the original on 2013-09-02. Retrieved 2011-10-27. {{cite web}}: More than one of |archivedate= and |archive-date= specified (help); More than one of |archiveurl= and |archive-url= specified (help)
    6. Upadhyay MP, West EP, Sharma AP (January 1980). "Keratitis due to Aspergillus flavus successfully treated with thiabendazole". Br J Ophthalmol. 64 (1): 30–2. doi:10.1136/bjo.64.1.30. PMC 1039343. PMID 6766732.
    7. Rosene-Montella, Karen; Keely, Erin; Lee, Richard V.; Barbour, Linda Anne (2008). Medical Care of the Pregnant Patient. ACP Press. p. 719. ISBN 978-1-930513-86-0. Retrieved 2 February 2023.
    8. Igual-Adell R, Oltra-Alcaraz C, Soler-Company E, Sánchez-Sánchez P, Matogo-Oyana J, Rodríguez-Calabuig D (December 2004). "Efficacy and safety of ivermectin and thiabendazole in the treatment of strongyloidiasis". Expert Opin Pharmacother. 5 (12): 2615–9. doi:10.1517/14656566.5.12.2615. PMID 15571478. S2CID 23721306. Archived from the original on 2016-03-06. Retrieved 2023-01-29. {{cite journal}}: More than one of |archivedate= and |archive-date= specified (help); More than one of |archiveurl= and |archive-url= specified (help)
    9. Portugal R, Schaffel R, Almeida L, Spector N, Nucci M (June 2002). "Thiabendazole for the prophylaxis of strongyloidiasis in immunosuppressed patients with hematological diseases: a randomized double-blind placebo-controlled study". Haematologica. 87 (6): 663–4. PMID 12031927. Archived from the original on 2019-12-15. Retrieved 2023-01-29. {{cite journal}}: More than one of |accessdate= and |access-date= specified (help); More than one of |archivedate= and |archive-date= specified (help); More than one of |archiveurl= and |archive-url= specified (help)
    10. Cha, HJ; Byrom M; Mead PE; Ellington AD; Wallingford JB; et al. (August 2012). "Evolutionarily Repurposed Networks Reveal the Well-Known Antifungal Drug Thiabendazole to Be a Novel Vascular Disrupting Agent". PLOS Biology. 10 (8): e1001379. doi:10.1371/journal.pbio.1001379. PMC 3423972. PMID 22927795.
    11. Gilman, A.G.; T.W. Rall; A.S. Nies; P. Taylor, eds. (1990). Goodman and Gilman's The Pharmacological Basis of Therapeutics (8th ed.). New York, NY: Pergamon Press. p. 970.
    12. "Reregistration Eligibility Decision Thiabendazole" (PDF). Environmental Protection Agency. Archived (PDF) from the original on 16 October 2014. Retrieved 8 January 2013. {{cite web}}: More than one of |archivedate= and |archive-date= specified (help); More than one of |archiveurl= and |archive-url= specified (help)
    13. Setzinger, Meyer; Painfield, North; Gaines, Water A.; Grenda, Victor J. (1965). "Novel Preparation of Benzimidazoles from N-Arylamidines. New Synthesis of Thiabendazole1". The Journal of Organic Chemistry. 30: 259–261. doi:10.1021/jo01012a061.
    14. L. H. Sarett, H. D. Brown, U.S. Patent 3,299,081 (1967 to Merck & Co.)
    15. Brown, H. D.; Matzuk, A. R.; Ilves, I. R.; Peterson, L. H.; Harris, S. A.; Sarett, L. H.; Egerton, J. R.; Yakstis, J. J.; Campbell, W. C.; Cuckler, A. C. (1961). "Antiparasitic Drugs. Iv. 2-(4'-Thiazolyl)-Benzimidazole, A New Anthelmintic". Journal of the American Chemical Society. 83 (7): 1764–1765. doi:10.1021/ja01468a052.
    16. Hoff, Fisher, ZA 6800351 (1969 to Merck & Co.), C.A. 72, 90461q (1970).
    17. Hoff, D. R.; Fisher, M. H.; Bochis, R. J.; Lusi, A.; Waksmunski, F.; Egerton, J. R.; Yakstis, J. J.; Cuckler, A. C.; Campbell, W. C. (1970). "A new broad-spectrum anthelmintic: 2-(4-Thiazolyl)-5-isopropoxycarbonylamino-benzimidazole". Experientia. 26 (5): 550–551. doi:10.1007/BF01898506. PMID 4245814. S2CID 26567527.
    This article is issued from Wmcloud. The text is licensed under Creative Commons - Attribution - Sharealike. Additional terms may apply for the media files.