Syringofibroadenoma
| Syringofibroadenoma | |
|---|---|
| Other names: Acrosyringeal nevus, eccrine syringofibroadenoatous hyperplasia[1] | |
![]() | |
| Specialty | Dermatology |
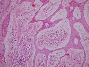
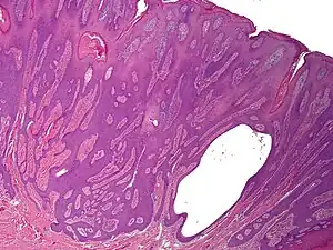
Syringofibroadenoma is a cutaneous condition characterized by a hyperkeratotic nodule or plaque involving the extremities.[1]
It is considered of eccrine origin.[2]

Eccrine syringofibroadenoma
See also
References
- 1 2 DE, Elder; D, Massi; RA, Scolyer; R, Willemze (2018). "3. Appendages tumours: Syringofibroadenoma". WHO Classification of Skin Tumours. Vol. 11 (4th ed.). Lyon (France): World Health Organization. p. 186. ISBN 978-92-832-2440-2. Archived from the original on 2022-07-11. Retrieved 2022-08-17.
- ↑ "Syringofibroadenoma pathology - DermNet New Zealand". www.dermnet.org.nz. Archived from the original on 2013-11-15. Retrieved 2020-12-17.
External links
| Classification |
|---|
This article is issued from Wmcloud. The text is licensed under Creative Commons - Attribution - Sharealike. Additional terms may apply for the media files.
