Streptococcus constellatus

Streptococcus constellatus
Scientific classification edit
Domain: Bacteria
Phylum: Bacillota
Class: Bacilli
Order: Lactobacillales
Family: Streptococcaceae
Genus: Streptococcus
Species:
S. constellatus
Binomial name
Streptococcus constellatus
(Prévot, 1924) Holdeman & Moore, 1974
Subspecies[1]
  • Streptococcus constellatus subsp. constellatus
  • Streptococcus constellatus subsp. pharyngis Whiley et al., 1999
  • Streptococcus constellatus subsp. viborgensis Jensen et al., 2013

Streptococcus constellatus is a species of Streptococcus[2] that is part of the normal flora in the oral cavity, urogenital region, and intestinal tract. However, it can frequently cause purulent infections in other parts of the body.[3] DNA homology studies and 16S rRNA sequence analysis demonstrate S. constellatus belongs to the Streptococcus anginosus group (milleri group) along with Streptococcus intermedius and Streptococcus anginosus.[4]

Morphology

S. constellatus are gram positive, non-sporing, non-motile, catalase negative cocci. The cells are small, normally 0.5-1μm in diameter and form short chains. Their cell wall peptidoglycan is composed of Lys-Ala1-3 and has a DNA G+C content of 37-38%.[5]

Metabolism and growth

In the presence of CO2 growth is enhanced, under aerobic conditions growth is reduced, and some strains require anaerobic conditions to grow.

S. constellatus produces major amounts of lactic acid, fermented glucose, maltose and sucrose, but not lactose and hydrolyzed aesculin.

Biochemical characteristics

The typical species is Lancefield Groups A,C, G, and F, with the remaining NG (non-groupable) and haemolysis on blood agar is β-haemolytic and NH (non-haemolytic).

EnzymeS. constellatusS. anginosusS. intermedius
Beta-D-fucosidase--+
Beta-N-acetylglucosaminidase--+
Beta-N-galactosaminidase--+
Sialidase--+
Beta-galactosidase--+
Beta-glucosidase-++/-
Hyaluronidase+-+

[6]

Disease

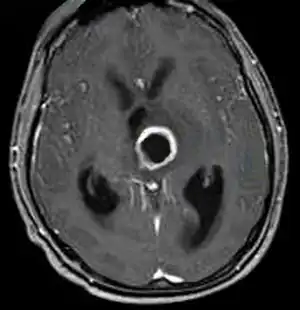
Thalamic abscess caused by streptococcus constellatus-image with contrast showing a thalamic ring-enhancing lesion in the left side of the brain

Clinically it is associated with abscess formation in the upper body and respiratory tract. It has also been found to be involved with pulmonary exacerbations in cystic fibrosis patients and can lead to toxic shock and limb amputation.[7]

Subspecies

Evidence supports the further subdivision of S. constellatus into three subspecies, S. constellatus subsp. constellatus and S. constellatus subsp. pharyngis and Streptococcus constellatus subsp. viborgensis.[1]

S. constellatus subsp. constellatus

Normally found in the oral cavities and upper respiratory tracts and isolated from purulent human infections, including appendicitis. Strains are frequently β-haemolyic and belong to Lancefield Group F or are nonhaemolytic (α and γ) and serologically ungroupable. However, a few strains react with Lancefield Group A, C, and G antisera.[8]

Most strains produce:

  • α-glucosidase, but very few produce: β-galactosidase and β-glucosidase

Most strains do NOT produce:

  • β-N-acetylglucosaminidase
  • β-D-fucosidase
  • α-galactosidase
  • β-glucuronidase
  • pyrrolidonylarylamidase
  • sialidase [8]

S. constellatus subsp. pharyngis

Normally found in infections of the human throat, patients with pharyngitis. Strains frequency are β-haemolytic and belong to Lancefield C.

Most strains produce:

  • β-N-acetylgalactosaminidase
  • β-D-fucosidase
  • α-galactosidase
  • α-glucosidase
  • β-glucosdiase
  • β-N-acetylglucosaminidase

Most strains do NOT produce:

  • α-galactosidase
  • β-glucuronidase
  • pyrrolidonylarylamidase
  • sialidase[8]

See also

References

  1. 1 2 "Streptococcus constellatus". Global Biodiversity Information Facility. Retrieved 1 June 2021.
  2. Jacobs JA, Schouls LM, Whiley RA (January 2000). "DNA-DNA reassociation studies of Streptococcus constellatus with unusual 16S rRNA sequences". Int. J. Syst. Evol. Microbiol. 50, Pt 1: 247–9. doi:10.1099/00207713-50-1-247. PMID 10826810.{{cite journal}}: CS1 maint: url-status (link)
  3. Whiley RA, Beighton D, Winstanley TG, Fraser HY, Hardie JM (1992). "Streptococcus intermedius, Streptococcus constellatus, Streptococcus anginosus (the Streptococcus milleri group): Association with different body site and clinical infections". J. Clin. Microbiol. 30 (1): 243–244. doi:10.1128/jcm.30.1.243-244.1992. PMC 265033. PMID 1734062.
  4. Whiley RA, Beighton D, Winstanley TG, Fraser HY, Hardie HM (January 1992). "Streptococcus intermedius, Streptococcus constellatus, and Streptococcus anginosus (the Streptococcus milleri group): Association with Different Body Sites and Clinical Infections". J. Clin. Microbiol. 30 (1): 243–4. doi:10.1128/jcm.30.1.243-244.1992. PMC 265033. PMID 1734062.
  5. Whiley, R. A., Hall, L. M. C., Hardie, J. M., Beighton, D. A study of small-colony, {beta}-haemolytic, Lancefield group C streptococci within the anginosus group: description of Streptococcus constellatus subsp. pharyngis subsp. nov., associated with the human throat and pharyngitis Int J Syst Bacteriol 1999 49: 1443-1449
  6. Stevens, D. and Kaplan, E. (2000). Steptococcal infections: clinical aspects, microbiology and molecular pathogenesis. Oxford University Press, Inc.: New York.
  7. Sibley CD, Parkins MD, Rabin HR, Duan K, Norgaard JC, Surette MG (September 2008). "A polymicrobial perspective of pulmonary infections exposes an enigmatic pathogen in cystic fibrosis patients". Proc. Natl. Acad. Sci. U.S.A. 105 (39): 15070–5. Bibcode:2008PNAS..10515070S. doi:10.1073/pnas.0804326105. PMC 2567494. PMID 18812504.
  8. 1 2 3 Whiley, R. A., Hall, L. M. C., Hardie, J. M., Beighton, D. A study of small-colony, {beta}-haemolytic, Lancefield group C streptococci within the anginosus group: description of Streptococcus constellatus subsp. pharyngis subsp. nov., associated with the human throat and pharyngitis Int J Syst Bacteriol 1999 49: 1443-1449
This article is issued from Wmcloud. The text is licensed under Creative Commons - Attribution - Sharealike. Additional terms may apply for the media files.