Sticky platelet syndrome
| Sticky platelet syndrome | |
|---|---|
![]() | |
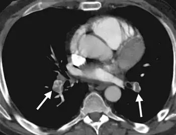
| CT-pulmo-angiographic exam, bilateral massive pulmonary embolism was confirmed | |
| Specialty | Hematology |
Sticky platelet syndrome is a term used by some [1][2][3][4] to describe a disorder of platelet function.[5] It was first described by Mammen in 1983.[6] It is inherited in an autosomal dominant pattern.[7] It has not been associated with a specific gene, and it is not recognized as an entity in OMIM.
Among researchers using the term, it has been described as a coagulation disorder that can present in conjunction with protein S deficiency and Factor V Leiden.[8] It is not currently known if sticky platelet syndrome is a distinct condition, or if it represents part of the presentation of a more well characterized coagulation disorder.
Signs and symptoms
The clinical presentation of Sticky platelet syndrome includes, but is not limited to angina pectoris[1]
Cause
The syndrome is believed to be hereditary.[9]
Diagnosis
SPS is diagnosed by demonstrating platelet hyperaggregability. In a lab test called aggregometry, platelet stickiness is stimulated with epinephrine (EPI) and/or adenosine diphosphate (ADP).[10] This test is not possible for patients being treated with acetylsalicylic acid until that substance has sufficiently cleared from their system.
Treatment
Those diagnosed are usually treated with taking a low dose (80–100 mg) Aspirin a day.[11] Anticoagulants (e.g. Warfarin, Coumadin) or clopidogrel (Plavix) are often additionally prescribed following formation of a medically significant clot. Thrombelastography is more commonly being used to diagnose hypercoagulability and monitor anti-platelet therapy.
See also
References
- 1 2 Mammen EF (1999). "Sticky platelet syndrome". Semin. Thromb. Hemost. 25 (4): 361–5. doi:10.1055/s-2007-994939. PMID 10548069.
- ↑ Frenkel EP, Mammen EF (February 2003). "Sticky platelet syndrome and thrombocythemia". Hematol. Oncol. Clin. North Am. 17 (1): 63–83. doi:10.1016/S0889-8588(02)00096-5. PMID 12627663.
- ↑ Mears KA, Van Stavern GP (July 2008). "Bilateral Simultaneous Anterior Ischaemic Optic Neuropathy Associated with Sticky Platelet Syndrome". Br J Ophthalmol. 93 (7): 885–6, 913. doi:10.1136/bjo.2008.142919. PMID 18662911. S2CID 42202617.
- ↑ Mammen EF, Barnhart MI, Selik NR, Gilroy J, Klepach GL (1988). ""Sticky platelet syndrome": a congenital platelet abnormality predisposing to thrombosis?". Folia Haematol. Int. Mag. Klin. Morphol. Blutforsch. 115 (3): 361–5. PMID 2465231.
- ↑ Mühlfeld AS, Ketteler M, Schwamborn K, et al. (July 2007). "Sticky platelet syndrome: an underrecognized cause of graft dysfunction and thromboembolic complications in renal transplant recipients". Am. J. Transplant. 7 (7): 1865–8. doi:10.1111/j.1600-6143.2007.01835.x. PMID 17532753.
- ↑ Bick, Rodger L (2006). Hematological complications in obstetrics, pregnancy, and gynecology. Cambridge, UK: Cambridge University Press. p. 147. ISBN 978-0-521-83953-2.
- ↑ McKay, Robert; David R. Gambling (2008). Obstetric anesthesia and uncommon disorders. Cambridge, UK: Cambridge University Press. p. 308. ISBN 978-0-521-87082-5.
- ↑ Chaturvedi S, Dzieczkowski JS (1999). "Protein S deficiency, activated protein C resistance and sticky platelet syndrome in a young woman with bilateral strokes". Cerebrovasc. Dis. 9 (2): 127–30. doi:10.1159/000015911. PMID 9973658. S2CID 35754773. Archived from the original on 2012-09-28. Retrieved 2022-05-08.
- ↑ Rodger L. Bick (December 2006). "Hereditary and Acquired Thrombophilic Disorders". Clinical and Applied Thrombosis/Hemostasis. 12 (2): 125–135. CiteSeerX 10.1.1.486.6752. doi:10.1177/107602960601200201. PMID 16708115. S2CID 42478313.
- ↑ Weber, M.; Gerdsen, F.; Gutensohn, K.; Schoder, V.; Eifrig, B.; Hossfeld, D.K (2002). "Enhanced platelet aggregation with TRAP-6 and collagen in platelet aggregometry in patients with venous thromboembolism". Thrombosis Research. 107 (6): 325–328. doi:10.1016/S0049-3848(02)00351-1. PMID 12565719.
- ↑ Mammen EF (1999). "Sticky platelet syndrome". Semin. Thromb. Hemost. 25 (4): 361–5. doi:10.1055/s-2007-994939. PMID 10548069.
