Steeple sign
| Steeple sign | |
|---|---|
![]() | |
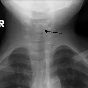
| The steeple sign as seen on an anteroposterior neck X-ray of a child with croup | |
| Differential diagnosis | Croup |
In radiology, the steeple sign is a radiologic sign found on a frontal neck radiograph where subglottic tracheal narrowing produces the shape of a church steeple within the trachea itself.[1][2] The presence of the steeple sign supports a diagnosis of croup, usually caused by paramyxoviruses.[3] it can also be defined as the replacement of the usual squared-shoulder appearance of the subglottic area by cone-shaped narrowing just distal to the vocal cords. This is called the steeple or pencil-point sign.
References
- ↑ Braen, G. Richard (29 March 2012). Manual of Emergency Medicine. Lippincott Williams & Wilkins. p. 203. ISBN 9781451153910.
Radiologic confirmation of proximal narrowing of the subglottic space can be • obtained by an AP radiograph of the neck; typically, a "steeple sign" is noted referring to the similar appearance of a church steeple.
- ↑ Burket, Lester William (2008). Burket's Oral Medicine. PMPH-USA. p. 304. ISBN 9781550093452.
This type of narrowing is typically present in croup and is known as the steeple sign on the anteroposterior radiograph given its similarity to a church steeple.
- ↑ Salour M (2000). "The steeple sign". Radiology. 216 (2): 428–9. doi:10.1148/radiology.216.2.r00au18428. PMID 10924564.
External links
This article is issued from Wmcloud. The text is licensed under Creative Commons - Attribution - Sharealike. Additional terms may apply for the media files.
