Squamous metaplasia

Squamous metaplasia is a benign non-cancerous change (metaplasia) of surfacing lining cells (epithelium) to a squamous morphology.
Location
Common sites for squamous metaplasia include the bladder and cervix. Smokers often exhibit squamous metaplasia in the linings of their airways. These changes don't signify a specific disease, but rather usually represent the body's response to stress or irritation. Vitamin A deficiency or overdose can also lead to squamous metaplasia.[1]
Uterine cervix
In regard to the cervix, squamous metaplasia can sometimes be found in the endocervix, as it is composed of simple columnar epithelium, whereas the ectocervix is composed of stratified squamous non-keratinized epithelium.[2]
Significance
Squamous metaplasia may be seen in the context of benign lesions (e.g., atypical polypoid adenomyoma), chronic irritation, or cancer (e.g., endometrioid endometrial carcinoma), as well as pleomorphic adenoma.
Cytology of squamous metaplasia of the cervix, with typical features. Pap stain.
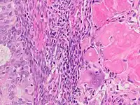
Endometrial adenocarcinoma (carcinoma at left in image) with squamous differentiation evidenced as necrotic “ghost cells” of keratinocytes at right in image, leaving pink keratin as well as clear spaces at the prior locations of the cell nuclei.
See also
- Metaplasia
- Dysplasia
- Barrett esophagus - a columnar cell metaplasia of squamous epithelium
- Subareolar abscess
References
- ↑ Goralczyk, R (2009). "β-Carotene and Lung Cancer in Smokers: Review of Hypotheses and Status of Research". Nutrition and Cancer. 61 (6): 767–774. doi:10.1080/01635580903285155. PMID 20155614.
- ↑ Kumar, Vinay; Abbas, Abul K.; Fausto, Nelson; & Mitchell, Richard N. (2007) Robbins Basic Pathology (8th ed.). Saunders Elsevier. pp. 716-720 ISBN 978-1-4160-2973-1