Pseudobulbar palsy

Pseudobulbar palsy
SpecialtyNeurology

Pseudobulbar palsy is a medical condition characterized by the inability to control facial movements (such as chewing and speaking) and caused by a variety of neurological disorders. Patients experience difficulty chewing and swallowing, have increased reflexes and spasticity in tongue and the bulbar region, and demonstrate slurred speech (which is often the initial presentation of the disorder), sometimes also demonstrating uncontrolled emotional outbursts.[1]

The condition is usually caused by the bilateral damage to corticobulbar pathways, which are upper motor neuron pathways that course from the cerebral cortex to nuclei of cranial nerves in the brain stem.

Signs and symptoms

Signs and symptoms of pseudobulbar palsy include:

Causes

Pseudobulbar palsy is the result of damage of motor fibers traveling from the cerebral cortex to the lower brain stem. This damage might arise in the course of a variety of neurological conditions that involve demyelination and bilateral corticobulbar lesions. Examples include:

Pathophysiology

The proposed mechanism of pseudobulbar palsy points to the disinhibition of the motor neurons controlling laughter and crying, proposing that a reciprocal pathway exists between the cerebellum and the brain stem that adjusts laughter and crying responses, making them appropriate to context.[5] The pseudobulbar crying could also be induced by stimulation in the region of the subthalamic nucleus of the brain.[6]

Diagnosis

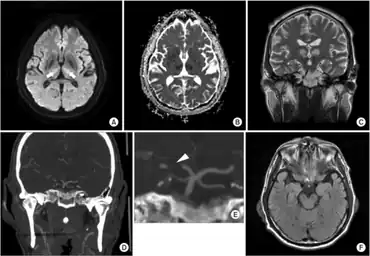
a) Axial diffusion-weighted imaging sequences b) diffusion coefficient image c)acute bilateral paramedian thalamic infarction d) CT angiography e)an unpaired thalamic perforating artery f) shows no midbrain lesion.

Diagnosis of pseudobulbar palsy is based on observation of the symptoms of the condition. Tests examining jaw jerk and gag reflex can also be performed. It has been suggested that the majority of patients with pathological laughter and crying have pseudobulbar palsy due to bilateral corticobulbar lesions and often a bipyrimidal involvement of arms and legs.[7] To further confirm the condition, MRI can be performed to define the areas of brain abnormality.

Treatment

Since pseudobulbar palsy is a syndrome associated with other diseases, treating the underlying disease may eventually reduce the symptoms of pseudobulbar palsy.

Possible pharmacological interventions for pseudobulbar affect include the tricyclic antidepressants, serotonin reuptake inhibitors, and a novel approach utilizing dextromethorphan and quinidine sulfate. Nuedexta is an FDA approved medication for pseudobulbar affect. Dextromethorphan, an N-methyl-D-aspartate receptor antagonist, inhibits glutamatergic transmission in the regions of the brainstem and cerebellum, which are hypothesized to be involved in pseudobulbar symptoms, and acts as a sigma ligand, binding to the sigma-1 receptors that mediate the emotional motor expression.[5]

See also

References

  1. Tidy C (21 October 2021). Knott L (ed.). "Bulbar and Pseudobulbar Palsy. What is Bulbar Palsy?". Patient. Archived from the original on 2018-06-12. Retrieved 2016-03-26.
  2. McCormick WE, Lee JH (May 2002). "Pseudobulbar palsy caused by a large petroclival meningioma: report of two cases". Skull Base. 12 (2): 67–71. doi:10.1055/s-2002-31568-1. PMC 1656925. PMID 17167648.
  3. Rissardo JP, Caprara AF (March 2021). "Isolated acute pseudobulbar palsy with infarction of artery of percheron: case report and literature review". African Health Sciences. 21 (1): 166–171. doi:10.4314/ahs.v21i1.22. PMC 8356591. PMID 34394294.
  4. Bourgouin PM, Chalk C, Richardson J, Duang H, Vezina JL (August 1995). "Subcortical white matter lesions in osmotic demyelination syndrome". AJNR. American Journal of Neuroradiology. 16 (7): 1495–1497. PMC 8338057. PMID 7484639.]
  5. 1 2 Graham KC, Spiegel DR (2008). "Pseudobulbar palsy and affect in a case of progressive multifocal leukoencephalopathy". The Journal of Neuropsychiatry and Clinical Neurosciences. 20 (1): 110–111. doi:10.1176/jnp.2008.20.1.110. PMID 18305298.
  6. Okun MS, Raju DV, Walter BL, Juncos JL, DeLong MR, Heilman K, et al. (June 2004). "Pseudobulbar crying induced by stimulation in the region of the subthalamic nucleus". Journal of Neurology, Neurosurgery, and Psychiatry. 75 (6): 921–923. doi:10.1136/jnnp.2003.016485. PMC 1739063. PMID 15146017.
  7. Asfora WT, DeSalles AA, Abe M, Kjellberg RN (April 1989). "Is the syndrome of pathological laughing and crying a manifestation of pseudobulbar palsy?". Journal of Neurology, Neurosurgery, and Psychiatry. 52 (4): 523–525. doi:10.1136/jnnp.52.4.523. PMC 1032309. PMID 2738597.
Classification
This article is issued from Wmcloud. The text is licensed under Creative Commons - Attribution - Sharealike. Additional terms may apply for the media files.