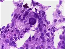
Psammoma body

Micrograph of psammoma body in the centre of the field in a meningioma of brain. H&E stain.

A psammoma body is a round collection of calcium, seen microscopically. The term is derived from the Greek word ψάμμος (psámmos), meaning "sand".

Cause

Psammoma bodies are associated with the papillary (nipple-like) histomorphology and are thought to arise from,

  1. Infarction and calcification of papillae tips.
  2. Calcification of intralymphatic tumor thrombi.[1]

Association with lesions

Psammoma bodies are commonly seen in certain tumors such as:

Benign lesions

Micrograph of a psammomatous melanotic schwannoma with a psammoma body, as may be seen in Carney complex. H&E stain.

Psammoma bodies may be seen in:

Appearance

Psammoma bodies usually have a laminar appearance, are circular, acellular and basophilic.

References

  1. Johannessen JV, Sobrinho-Simões M (September 1980). "The origin and significance of thyroid psammoma bodies". Lab. Invest. 43 (3): 287–96. PMID 7401638.
  2. Chapter 20 in: Mitchell, Richard Sheppard; Kumar, Vinay; Abbas, Abul K; Fausto, Nelson (2007). Robbins Basic Pathology. Philadelphia: Saunders. ISBN 978-1-4160-2973-1. 8th edition.
  3. "Renal Cell Carcinoma". The Lecturio Medical Concept Library. Retrieved 1 October 2021.
  4. Ovarian papillary serous cystadenocarcinoma at WebPath, The Internet Pathology Laboratory for Medical Education at Mercer University School of Medicine. Retrieved July 2011
  5. "Brain Stem & Posterior Fossa". Archived from the original on 2000-03-01.
  6. Lewis RB (2010). "Pancreatic Endocrine Tumors: Radiologic-Clinicopathologic Correlation". RadioGraphics. 30 (6): 1445–1464. doi:10.1148/rg.306105523. PMID 21071369.
  7. Robbin's Pathology, Eight Ed
  8. "Glucagonoma". The Lecturio Medical Concept Library. Retrieved 1 October 2021.
  9. Emoto K, Eguchi T, Tan KS, Takahashi Y, Aly RG, Rekhtman N, Travis WD, Adusumilli PS (2019). "Expansion of the Concept of Micropapillary Adenocarcinoma to Include a Newly Recognized Filigree Pattern as Well as the Classical Pattern Based on 1468 Stage I Lung Adenocarcinomas". J Thorac Oncol. 14 (11): 1948–1961. doi:10.1016/j.jtho.2019.07.008. PMC 8785415. PMID 31352072.{{cite journal}}: CS1 maint: multiple names: authors list (link)
  10. Hallman KB, Nahhas WA, Connelly PJ (September 1991). "Endosalpingiosis as a source of psammoma bodies in a Papanicolaou smear. A case report". J Reprod Med. 36 (9): 675–8. PMID 1774734.
  11. Rapini, Ronald. Practical Dermatopathology. Elsevier Mosby, 2005, p. 10.

Slides:


This article is issued from Wmcloud. The text is licensed under Creative Commons - Attribution - Sharealike. Additional terms may apply for the media files.