Pisiform fracture

Pisiform fracture
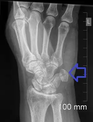
A pisiform fracture
SpecialtyHand surgery
SymptomsWrist pain on the side with the little finger[1][2]
ComplicationsArthritis, avascular necrosis[1][3]
TypesTransverse, parasagittal, comminuted, pisiform-triquetral impaction[1]
CausesDirect hit, repetitive injury[1]
Diagnostic methodMedical imaging[2]
Differential diagnosisHamate fracture, flexor carpi ulnaris tendonitis[2]
TreatmentCasting, surgery[1][2]
PrognosisGenerally good[2]
Frequency<2% of wrist fractures[1]

Pisiform fracture is a break of the pisiform bone of the wrist. Symptoms include wrist pain on the side with the little finger.[1][2] They may occur in association with other wrist bone fractures, injury to the ulnar nerve, or ulnar artery.[4][5] Complications may include arthritis and avascular necrosis.[1][3]

The cause is generally the wrist being directly hit, such as may occur during sports, falling on an outstretched hand, or from repetitive injuries.[1][5] It may also occur as an avulsion fracture.[1] Types are transverse, parasagittal, comminuted, and pisiform-triquetral impaction.[1] Diagnosis is generally by X-rays, though specific views may be required.[1] CT scan may be bone to rule out other injuries.[6]

Treatment may include orthopedic casting for 4 to 6 weeks or surgery.[1][3] Surgery may involve placing a screw or removing the pisiform itself.[4] Outcomes are generally good.[2]

Pisiform fractures represent less than 2% of wrist bone fractures.[1][5] It is the rarest broken wrist bone along with the trapezoid.[6] The fracture was initially described in 1908.[7]

Diagnosis

The fracture may be better see on a specific wrist X-ray known as a carpal tunnel view or a lateral view with 30 degrees of supination.[4]

References

  1. 1 2 3 4 5 6 7 8 9 10 11 12 13 14 Suh, N; Ek, ET; Wolfe, SW (April 2014). "Carpal fractures". The Journal of hand surgery. 39 (4): 785–91, quiz 791. doi:10.1016/j.jhsa.2013.10.030. PMID 24679911.
  2. 1 2 3 4 5 6 7 "Pisiform Fracture - Hand - Orthobullets". www.orthobullets.com. Archived from the original on 29 December 2021. Retrieved 24 September 2022.
  3. 1 2 3 Cooney, William P. (21 December 2011). The Wrist: Diagnosis and Operative Treatment. Lippincott Williams & Wilkins. p. 455. ISBN 978-1-4511-4826-8. Archived from the original on 27 September 2022. Retrieved 24 September 2022.
  4. 1 2 3 Weerakkody, Yuranga. "Pisiform fracture | Radiology Reference Article | Radiopaedia.org". Radiopaedia. Archived from the original on 8 November 2021. Retrieved 24 September 2022.
  5. 1 2 3 Walls, Ron; Hockberger, Robert; Gausche-Hill, Marianne (9 March 2017). Rosen's Emergency Medicine - Concepts and Clinical Practice E-Book. Elsevier Health Sciences. p. 516. ISBN 978-0-323-39016-3. Archived from the original on 27 September 2022. Retrieved 24 September 2022.
  6. 1 2 Doral, Mahmut Nedim; Karlsson, Jón; Nyland, John; Benedetto, Karl Peter (15 May 2019). Intraarticular Fractures: Minimally Invasive Surgery, Arthroscopy. Springer. p. 200. ISBN 978-3-319-97602-0. Archived from the original on 27 September 2022. Retrieved 24 September 2022.
  7. Berger, Richard A.; Weiss, Arnold-Peter C. (2004). Hand Surgery. Lippincott Williams & Wilkins. p. 419. ISBN 978-0-7817-2874-4. Archived from the original on 2022-09-27. Retrieved 2022-09-24.
This article is issued from Wmcloud. The text is licensed under Creative Commons - Attribution - Sharealike. Additional terms may apply for the media files.