Pilar sheath acanthoma
| Pilar sheath acanthoma | |
|---|---|
| Other names: Infundibuloisthmicoma[1] | |
![]() | |
| Skin colored nodule diameter in 1 cm in eyebrow | |
| Symptoms | Single small small or larger bump with central keratin-plug in dip, typically above upper lip[1] |
| Usual onset | Middle-age, elderly[1] |
| Frequency | Rare[1] |
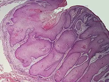
A pilar sheath acanthoma is a single small small or larger bump with a central keratin-plug in a dip, typically above upper lip in adults.[1] It is usually around 05cm to 1.0cm.[1]

histology
See also
References
Template:Epidermal-growth-stub
This article is issued from Wmcloud. The text is licensed under Creative Commons - Attribution - Sharealike. Additional terms may apply for the media files.
