Perivascular epithelioid cell tumour
| PEComa | |
|---|---|
![]() | |
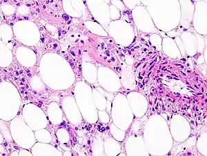
| Histopathologic image of renal angiomyolipoma. Nephrectomy specimen. H&E stain. | |
| Symptoms | Painless mass[1] |
| Frequency | Rare, F:M ratio=0.2:1[1] |
Perivascular epithelioid cell tumour, also known as PEComa, is a type of soft tissue tumor consisting of perivascular epithelioid cells (PECs).[1] It typically presents as a painless mass.[1]
Most occur sporadically, and a small number may be associated with tuberous sclerosis.[1] The cell type from which these tumours originate remains unknown. Normally, no perivascular epitheloid cells exist; the name refers to the characteristics of the tumour when examined under the microscope.[2]
Establishing the malignant potential of these tumours remains challenging although criteria[3] have been suggested; some PEComas display malignant features whereas others can cautiously be labeled as having 'uncertain malignant potential'.[2] The most common tumours in the PEComa family are renal angiomyolipoma and pulmonary lymphangioleiomyomatosis, both of which are more common in patients with tuberous sclerosis complex. The genes responsible for this multi-system genetic disease have also been implicated in other PEComas.[2]
The condition is rare.[1] Females are affected more frequently than males.[1]
Signs and symptoms
It typically presents as a painless mass.[1]
Cause
The precursor cell of PEComas is currently unknown; there is no normal counterpart "perivascular epitheloid cell".[4] Genetically, PECs are linked to the tuberous sclerosis genes TSC1 and TSC2, although this link is stronger for angiomyolipoma and lymphangioleiomyomatosis than for other members of the PEComa family.
Diagnosis

Histology
PECs consist of perivascular epithelioid cells with a clear/granular cytoplasm and central round nucleus without prominent nucleoli.
Immunohistochemical markers
PECs typically stain for melanocytic markers (HMB-45, Melan A (Mart 1), Mitf) and myogenic markers (actin, myosin, calponin).
Differential diagnosis
PECs bear significant histologic and immunohistochemical similarity to:
- angiomyolipoma,
- clear-cell sugar tumour (CCST),
- lymphangioleiomyomatosis, and,
- clear-cell myomelanocytic tumour of ligamentum teres/falciform ligament.
- abdominopelvic sarcoma of perivascular epitheloid cells[2]
- primary extrapulmonary sugar tumour[2]
Thus, it has been advocated that the above could be classified PEComas.[4]
PEComas are rare and can have myriad features; therefore, they can be confused with carcinomas, smooth muscle tumours, adipocytic tumours, clear cell sarcomas, melanomas and gastrointestinal stromal tumours (GIST).[2]
Management
In terms of treatment for PEComa, "radical surgery with microscopically clear margins" is suggested per a retrospective 2021 article by Sobiborowicz et al.[5]
References
- 1 2 3 4 5 6 7 8 WHO Classification of Tumours Editorial Board, ed. (2020). "1. Soft tissue tumors: Tumors of uncertain differentiation - PEComa". Soft Tissue and Bone Tumours: WHO Classification of Tumours. Vol. 3 (5th ed.). Lyon (France): International Agency for Research on Cancer. pp. 312–314. ISBN 978-92-832-4503-2.
- 1 2 3 4 5 6 Folpe, AL; Kwiatkowski DJ (2009). "Perivascular epitheloid cell neoplasms: pathology and pathogenesis". Human Pathology. 41 (1): 1–15. doi:10.1016/j.humpath.2009.05.011. PMID 19604538.
- ↑ Folpe AL, Mentzel T, Lehr HA, Fisher C, Balzer BL, Weiss SW (Dec 2005). "Perivascular epithelioid cell neoplasms of soft tissue and gynecologic origin: a clinicopathologic study of 26 cases and review of the literature". Am J Surg Pathol. 29 (12): 1558–75. doi:10.1097/01.pas.0000173232.22117.37. PMID 16327428.
- 1 2 Martignoni G, Pea M, Reghellin D, Zamboni G, Bonetti F (February 2008). "PEComas: the past, the present and the future". Virchows Arch. 452 (2): 119–32. doi:10.1007/s00428-007-0509-1. PMC 2234444. PMID 18080139.
- ↑ Sobiborowicz, Aleksandra; Świtaj, Tomasz; Teterycz, Paweł; Spałek, Mateusz J.; Szumera-Ciećkiewicz, Anna; Wągrodzki, Michał; Zdzienicki, Marcin; Czarnecka, Anna M.; Rutkowski, Piotr (19 May 2021). "Feasibility and Long-Term Efficacy of PEComa Treatment-20 Years of Experience". Journal of Clinical Medicine. 10 (10): 2200. doi:10.3390/jcm10102200. ISSN 2077-0383. Archived from the original on 17 October 2022. Retrieved 17 October 2022.
External links
| Classification |
|
|---|---|
| External resources |
.jpg.webp)