Periosteal chondroma
| Periosteal chondroma | |
|---|---|
| Other names: Juxtacortical chondroma, parosteal chondroma[1] | |
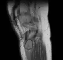
![]() | |
| Periosteal chondroma long bone lower leg near knee | |
| Specialty | Orthopedics |
| Symptoms | Pain[2] |
| Diagnostic method | Medical imaging[2] |
| Differential diagnosis | Periosteal chondrosarcoma[1] |
| Treatment | Observation, less often surgery[2] |
| Frequency | Rare, M>F[1] |
Periosteal chondroma is a non-cancerous tumor of cartilage.[3][4] It generally presents with pain in the affected region, typically in the upper arm.[2]
Medical imaging demonstrates a well-defined lesion with a "saucer-shaped margin" and a thick intact cortex.[1][2] Periosteal chondrosarcoma may appear similar.[1] Treatment is usually observation, but marginal surgical excision may be required, [2]
Periosteal chondroma is rare and account for around 3% of non-cancerous chondrogenic tumors, occurring in both children and adults and more often in men.[1]
Signs and symptoms
Periosteal chondroma generally presents with pain in the region of the lesion, usually due to pressure effects on nearby tendons.[2]
Diagnosis

Medical imaging demonstrates a well-defined lesion and erosion from pressure, with a "saucer-shaped margin", a thick intact cortex and marginal sclerosis.[1][2]
Differential diagnosis is mainly periosteal chondrosarcoma.[1]
Treatment
Unless there is severe pain, when marginal surgical excision may be required, treatment is usually observation.[2]
Epidemiology
They account for around 3% of non-cancerous chondrogenic tumors, occur in both children and adults and more often in men.[1] The upper arm is more frequently affected.[1]
References
- 1 2 3 4 5 6 7 8 9 10 Engel, Hannes; Herget, Georg W.; Füllgraf, Hannah; Sutter, Reto; Benndorf, Matthias; Bamberg, Fabian; Jungmann, Pia M. (March 2021). "Chondrogenic Bone Tumors: The Importance of Imaging Characteristics". RoFo: Fortschritte Auf Dem Gebiete Der Rontgenstrahlen Und Der Nuklearmedizin. 193 (3): 262–275. doi:10.1055/a-1288-1209. ISSN 1438-9010. PMID 33152784. Archived from the original on 2021-07-09. Retrieved 2021-07-07.
- 1 2 3 4 5 6 7 8 9 "Periosteal Chondromas - Pathology - Orthobullets". www.orthobullets.com. Archived from the original on 25 January 2021. Retrieved 6 July 2021.
- ↑ Soft Tissue and Bone Tumours: WHO Classification of Tumours. International Agency for Research on Cancer. 2020. p. 338. ISBN 978-92-832-4502-5. Archived from the original on 2021-06-13. Retrieved 2021-07-06.
- ↑ Cleven, Arjen H. G.; Bovée, Judith V. M. G. (1 October 2020). "Clinicopathological features and differential diagnosis of chondrogenic tumours". Diagnostic Histopathology. 26 (10): 484–491. doi:10.1016/j.mpdhp.2020.07.006. ISSN 1756-2317. Archived from the original on 27 August 2021. Retrieved 6 July 2021.
