Perinatal stroke
Perinatal stroke is a disease where an infant has a stroke between the 140th day of the gestation period and the 28th postpartum day,[1] affecting up to 1 in 2300 live births.[2] This disease is further divided into three subgroups, namely neonatal arterial ischemic stroke, neonatal cerebral sinovenous ischemic stroke, and presumed perinatal stroke.[3] Several risk factors contribute to perinatal stroke including birth trauma, placental abruption, infections, and the mother's health.[4]
Detection and diagnosis of perinatal stroke are often delayed due to prenatal onset or inadequacy of neonatal signs and symptoms.[5] A child may be asymptomatic in the early stages of life and may develop common signs of perinatal stroke such as seizures, poor coordination, and speech delays as they get older.[6] Diagnostic tests such as magnetic resonance imaging, electroencephalogram, and blood tests are conducted when doctors suspect the patients have developed signs of a perinatal stroke.[7]
The prognosis of this disease is associated with the severity and the development of the symptoms.[4] This disease can be treated by anticoagulant and anticonvulsant drugs, surgical procedures, and therapeutic hypothermia, depending on the condition of the patient.[8]
Types of perinatal stroke
Neonatal arterial ischemic stroke

A neonatal arterial ischemic stroke occurs when the blood vessels of the brain are partly or completely blocked. This situation normally affects the middle cerebral arterial region.[9] This subgroup of perinatal stroke affects between 5 and 43 babies in 100,000 live births.[10] A recent multinational cohort study showed that stroke or succeeding deficits caused the death of 65% of the patients who were suffering from neonatal arterial ischemic stroke.[11] Risk factors such as maternal fever,[12] gestational diabetes and having a record of miscarriage experiences will increase the occurrence of neonatal arterial ischemic stroke.[13] However, the definitive etiology of neonatal arterial ischemic stroke remains uncertain to date.[1]
Neonatal cerebral sinovenous ischemic stroke
Neonatal cerebral sinovenous ischemic stroke is a disease in the cerebral venous system caused by thrombosis.[14] Thrombosis in this region will hinder outflow from the venous system, causing a surge in the central venous pressure.[15] This will lead to intracranial hypertension, cerebral ischemia or wide spreading hemorrhage which may result in a permanent neurologic deficit[16] or mortality.[14] This disease has an incidence rate of between 2.6 and 2.69 in every 100,000 babies per year.[17] However, mortality due to neonatal cerebral sinovenous ischemic stroke is rather rare.[18]
Presumed perinatal stroke
Presumed perinatal stroke is a condition when the stroke is only diagnosed after the neonatal period and does not have any significance in neurological examination within the 28 days after birth.[19] The majority of infants who were later diagnosed with presumed perinatal stroke were free of symptoms during the neonatal period.[20] The timing that a stroke occurs varies between the 140th day of the pregnancy period and the 28th postpartum day among those infants suffering from presumed perinatal stroke.[1] These infants normally suffer from arterial strokes or white matter venous infarctions that may have variability in underlying mechanisms, risk factors, and outcomes.[21][22]
Causes
Perinatal stroke is correlated with various risk factors in infants including birth trauma, placental disorders, infections, and the mother's health.[4]
Birth trauma and mechanical trauma to the fetal head and neck can cause stroke by damaging arteries: Some children may have arteries that are damaged by trauma or inflammation leaving a rough or jagged inner lining where blood clots can get stuck. These clots can build up enough so that eventually the artery is clogged and no blood can flow through.[23] In addition to vascular damage, trauma to the fetal head from excessive uterine activity, manipulation, pressure, and forceps or vacuum application via direct occlusion or vasospasm can cause perinatal ischemic stroke.[24]
Hypoxic-ischemic encephalopathy (HIE),[25] also known as birth asphyxia arises from oxygen deprivation in the womb. HIE results from placental abruption, umbilical cord problems, uterine rupture, or the failure to identify abnormal heart rate by the medical staff.[26]
Placental disorders associated with perinatal stroke, range from anatomical (site or degree of implantation) such as placenta previa[27] to placenta-maternal effects (fetal erythroblastosis).[28]
Infections like chorioamnionitis cause an infection in the maternal blood, commonly leading to premature birth and the newborn experiencing brain damage, meningitis, or death.[29] Other infections include neonatal sepsis, where the immune system reacts by affecting their organs and tissues resulting in meningitis, seizures, and cerebral palsy.[30]
The mother's health is also associated with perinatal stroke, some factors include blood clotting disorders, congenital heart diseases, and prenatal cocaine exposure.[31] Blood clotting disorders such as Hemophilia A and B result from low clotting factor quantities leading to heavy bleeding. In congenital heart disease, perinatal stroke results from the disruption of blood flow from obstruction of a blood vessel in the brain.[3][32]
However, various infants still experience perinatal stroke after a normal pregnancy and studies have shown that sometimes there is a lack of direct cause and many infants are idiopathic.[31]
Signs and symptoms

Many infants are asymptomatic until they are older. Symptoms such as speech delays, balance difficulties, and asymmetrical weakness become more apparent and are signs that they experienced a stroke.[4] In asymmetrical weakness, infants favor one hand over the other due to cerebral palsy which arises from lesions to the central nervous system.[33] Infants who do give indications of stroke in the womb or shortly after birth commonly experience seizures.[3] When an infant has a seizure, they experience jerking in the face, legs, or arms, alongside delayed breathing.[4] Seizures are mostly caused by hypoxic-ischemic encephalopathy (HIE) or perinatal asphyxia.[34]
Diagnosis
Doctors can use diagnostic tests to determine if an infant is having a stroke. After a clinical presentation of a stroke, the first diagnostic tests used are imaging techniques. Further diagnostic tests such as EEG, Echo, blood tests, and genetic tests are carried out depending on the symptoms portrayed by the newborn.[7]
Imaging Techniques

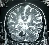
Perinatal stroke can be diagnosed with medical imaging techniques that present the brain's image. The usage of diffusion-weighted imaging with magnetic resonance imaging is effective for early diagnosis of perinatal stroke.[18] Computerized tomography (CT) is also a commonly used diagnostic technique for this disease.[35] These medical imaging techniques can show bleeding or blockage in the brain and detect damage caused by ischemic stroke or hemorrhages to the brain tissues.[36] Magnetic resonance imaging is clinically preferred to computerized tomography as it can highlight the brain's blood flow.[35] In addition, perinatal stroke is challenging to classify on computerized tomography as the neonatal brain has higher water content.[7][36] However, in certain situations, such as the inability to transport unstable infants with severe respiratory or cardiac disorders from the intensive care unit, cranial ultrasound is used as an alternative to magnetic resonance imaging.[7] Cranial ultrasound can identify intracranial hemorrhage, intraventricular hemorrhage, large cerebral sinus venous thrombosis along with the brain's blood flow.[7]
Electroencephalogram
Seizures associated with perinatal stroke are normally focal and include rhythmic contractions of the arm or leg.[7] Findings on EEG portray slow, isolated spike-wave patterns from the region of the dead tissue resulting from blood supply failure.[37]
Echocardiogram
Abnormality in the heart rate can be detected by an echocardiogram which creates a detailed image of the heart by utilising sound waves. This method locates the clot's source in the heart, which migrated to the brain and resulted in a stroke.[36]
Blood Tests
Blood tests examine various factors leading to perinatal strokes such as signs of infections, clotting conditions, and coagulation disorders. These include tests for clotting disorders such as thrombophilia and inflammatory disorders.[36]
Genetic Tests
Genetic tests examine the hereditary risk factors for blood clots leading to stroke. Genetic screening is recommended for patients who have a family history of thrombophilia.[38]
Prognosis
Perinatal stroke's severity determines its prognosis. 61% of infants who experienced a perinatal stroke are also diagnosed with cerebral palsy.[4] While, infants with greater stroke severities and involvement of structures such as the precentral gyrus and Wernicke's area have a critical prognosis.[39] Infants who survived a perinatal stroke may develop disabilities like cerebral palsy, sensory dysfunctions, ADHD, and visual or hearing difficulties.[39] As the prognosis is correlated with the progression of the symptoms, treatments allow the infants to recover quickly and reduces the chance of them suffering any long-term disabilities.
Treatments
In clinical practice, there are only limited treatments available for treating perinatal stroke.[40] Medications are commonly prescribed to alleviate some symptoms caused by the disease, while surgery and therapeutic hypothermia will be required to treat hemorrhagic stroke during the perinatal stage.
Medications
Anticoagulants are medications that interfere with the synthesis and function of several clotting factors present in the blood.[41] These medications are commonly used to decrease the possibility of further blood clotting in the babies’ brain who have a medical history of perinatal stroke.[42] These drugs are taken upon expression of identifiable risk factors of perinatal stroke such as multiple cerebral emboli or severe thrombophilia.[43] Examples of anticoagulants used are heparin and aspirin.[7] Some common side effects of anticoagulants are low platelet counts, gastrointestinal bleeding or stomach ulcers.[44][45]
Anticonvulsants are drugs that alter the level of neurotransmitters (GABA) at synapses between neurons.[46] They also affect the concentration of ions in the neurons by altering the activity of (Na+, K+, Ca2+, Cl-) ion channels in the neuronal cell membrane.[46] These modifications alter the electrical impulses conductivity by amplifying inhibition or reducing the excitation of the neurons.[47] Anticonvulsants such as benzodiazepines, phenytoin, and carbamazepine are commonly used in controlling epilepsy due to perinatal stroke. Adverse effects of these medications include headaches, dizziness and vision problems.[48][49]

Surgery
Decompression craniectomy is a procedure commonly used to alleviate the pressure in the brain by removing the pooling blood caused by the ischemic stroke during the perinatal stage.[50] The surgeons will first remove the skin and tissues on top of the site of injury, revealing the skull.[51] Then, a small hole will be made on the skull to allow them to stop the bleeding, before sealing it later.
Temporal lobectomy is a procedure that removes parts of the anterior temporal lobe in treating seizures due to perinatal stroke.[52] Patients who have undergone this surgery will be seizure-free and some will show significant improvement in controlling the seizure.[53]
Therapeutic hypothermia
Therapeutic hypothermia is a process that reduces the metabolism and induces self-repairing of the brain by cooling it down. This method will also cause constriction of blood vessels in the brain, reducing the probability of reacting with hyperactive responses that aggravate brain damage. Such a procedure is proven effective in reducing the possibility of major neurological disability and mortality by 25% when carried out 6 hours after birth.[54] This may be problematic for infants that do not express identifiable symptoms of perinatal stroke. A new direction in treating perinatal stroke by combining therapeutic hypothermia and growth factor medications will most likely improve the condition of the infants after suffering from a stroke.[55]
References
- 1 2 3 Raju, Tonse N. K.; Nelson, Karin B.; Ferriero, Donna; Lynch, John Kylan (1 September 2007). "Ischemic Perinatal Stroke: Summary of a Workshop Sponsored by the National Institute of Child Health and Human Development and the National Institute of Neurological Disorders and Stroke". Pediatrics. 120 (3): 609–616. doi:10.1542/peds.2007-0336. PMID 17766535. S2CID 27962003.
- ↑ Schulzke, Sven; Weber, Peter; Luetschg, Juerg; Fahnenstich, Hubert (1 January 2005). "Incidence and diagnosis of unilateral arterial cerebral infarction in newborn infants" (PDF). Journal of Perinatal Medicine. 33 (2): 170–5. doi:10.1515/JPM.2005.032. PMID 15843270. S2CID 22408967.
- 1 2 3 Fernández-López, David; Natarajan, Niranjana; Ashwal, Stephen; Vexler, Zinaida S (June 2014). "Mechanisms of Perinatal Arterial Ischemic Stroke". Journal of Cerebral Blood Flow & Metabolism. 34 (6): 921–932. doi:10.1038/jcbfm.2014.41. PMC 4050239. PMID 24667913.
- 1 2 3 4 5 6 Poinsett, Pierrette Mimi (19 July 2020). "Perinatal Stroke and Cerebral Palsy". Cerebral Palsy Guidance.
- ↑ Giraud, Antoine; Guiraut, Clémence; Chevin, Mathilde; Chabrier, Stéphane; Sébire, Guillaume (16 November 2017). "Role of Perinatal Inflammation in Neonatal Arterial Ischemic Stroke". Frontiers in Neurology. 8: 612. doi:10.3389/fneur.2017.00612. PMC 5696351. PMID 29201015.
- ↑ Ådén, Ulrika (June 2009). "Neonatal Stroke Is Not a Harmless Condition". Stroke. 40 (6): 1948–1949. doi:10.1161/STROKEAHA.109.550152. PMID 19423850.
- 1 2 3 4 5 6 7 Armstrong-Wells, Jennifer; Ferriero, Donna M. (October 2014). "Diagnosis and acute management of perinatal arterial ischemic stroke". Neurology: Clinical Practice. 4 (5): 378–385. doi:10.1212/CPJ.0000000000000077. PMC 4196460. PMID 25317375.
- ↑ Basu, Anna P (June 2014). "Early intervention after perinatal stroke: opportunities and challenges". Developmental Medicine & Child Neurology. 56 (6): 516–521. doi:10.1111/dmcn.12407. PMC 4020312. PMID 24528276.
- ↑ Govaert, P; Ramenghi, L; Taal, R; de Vries, L; deVeber, G (October 2009). "Diagnosis of perinatal stroke I: definitions, differential diagnosis and registration". Acta Paediatrica. 98 (10): 1556–1567. doi:10.1111/j.1651-2227.2009.01461.x. PMID 19663912.
- ↑ Grunt, S.; Mazenauer, L.; Buerki, S. E.; Boltshauser, E.; Mori, A. C.; Datta, A. N.; Fluss, J.; Mercati, D.; Keller, E.; Maier, O.; Poloni, C.; Ramelli, G.-P.; Schmitt-Mechelke, T.; Steinlin, M. (1 May 2015). "Incidence and Outcomes of Symptomatic Neonatal Arterial Ischemic Stroke". Pediatrics. 135 (5): e1220–e1228. doi:10.1542/peds.2014-1520. PMID 25896840. S2CID 2835262.
- ↑ Beslow, Lauren A.; Dowling, Michael M.; Hassanein, Sahar M.A.; Lynch, John K.; Zafeiriou, Dimitrios; Sun, Lisa R.; Kopyta, Ilona; Titomanlio, Luigi; Kolk, Anneli; Chan, Anthony; Biller, Jose; Grabowski, Eric F.; Abdalla, Abdalla A.; Mackay, Mark T.; deVeber, Gabrielle (May 2018). "Mortality After Pediatric Arterial Ischemic Stroke". Pediatrics. 141 (5): e20174146. doi:10.1542/peds.2017-4146. PMID 29695585. S2CID 19089455.
- ↑ Petrova, Anna; Demissie, Kitaw; Rhoads, George G.; Smulian, John C.; Marcella, Stephen; Ananth, Cande V. (July 2001). "Association of Maternal Fever During Labor With Neonatal and Infant Morbidity and Mortality". Obstetrics & Gynecology. 98 (1): 20–27. doi:10.1097/00006250-200107000-00005.
- ↑ Kirton, A.; Armstrong-Wells, J.; Chang, T.; deVeber, G.; Rivkin, M. J.; Hernandez, M.; Carpenter, J.; Yager, J. Y.; Lynch, J. K.; Ferriero, D. M.; International Pediatric Stroke Study, Investigators. (1 December 2011). "Symptomatic Neonatal Arterial Ischemic Stroke: The International Pediatric Stroke Study". Pediatrics. 128 (6): e1402–e1410. doi:10.1542/peds.2011-1148. PMID 22123886. S2CID 18452239.
- 1 2 Ichord, Rebecca (27 July 2017). "Cerebral Sinovenous Thrombosis". Frontiers in Pediatrics. 5: 163. doi:10.3389/fped.2017.00163. PMC 5529336. PMID 28798906.
- ↑ Mallick, A A; Sharples, P M; Calvert, S E; Jones, R W A; Leary, M; Lux, A L; O'Callaghan, F J; Osborne, J P; Patel, J S; Prendiville, A T; Renowden, S; Jardine, P E (1 October 2009). "Cerebral venous sinus thrombosis: a case series including thrombolysis". Archives of Disease in Childhood. 94 (10): 790–794. doi:10.1136/adc.2008.154708. PMID 19556220. S2CID 33000869.
- ↑ "Neurologic deficit: MedlinePlus Medical Encyclopedia".
- ↑ Berfelo, Florieke J.; Kersbergen, Karina J.; van Ommen, C. H.(Heleen); Govaert, Paul; van Straaten, H. L.M.(Irma); Poll-The, Bwee-Tien; van Wezel-Meijler, Gerda; Vermeulen, R. Jeroen; Groenendaal, Floris; de Vries, Linda S.; de Haan, Timo R. (July 2010). "Neonatal Cerebral Sinovenous Thrombosis From Symptom to Outcome". Stroke. 41 (7): 1382–1388. doi:10.1161/strokeaha.110.583542. PMID 20522810. S2CID 2271235.
- 1 2 Chalmers, Elizabeth A. (August 2005). "Perinatal stroke - risk factors and management". British Journal of Haematology. 130 (3): 333–343. doi:10.1111/j.1365-2141.2005.05554.x. PMID 16042683.
- ↑ Gacio, S.; Muñoz Giacomelli, F.; Klein, F. (1 October 2015). "Presumed perinatal ischemic stroke. A review". Archivos Argentinos de Pediatria. 113 (5): 449–455. doi:10.5546/aap.2015.eng.449. PMID 26294151.
- ↑ Ilves, Pilvi; Laugesaar, Rael; Loorits, Dagmar; Kolk, Anneli; Tomberg, Tiiu; Lõo, Silva; Talvik, Inga; Kahre, Tiina; Talvik, Tiina (April 2016). "Presumed Perinatal Stroke: Risk Factors, Clinical and Radiological Findings". Journal of Child Neurology. 31 (5): 621–628. doi:10.1177/0883073815609149. PMID 26446909. S2CID 206552224.
- ↑ Bowers, Karen J.; deVeber, Gabrielle A.; Ferriero, Donna M.; Roach, E. Steve; Vexler, Zinaida S.; Maria, Bernard L. (September 2011). "Cerebrovascular Disease in Children: Recent Advances in Diagnosis and Management". Journal of Child Neurology. 26 (9): 1074–1100. doi:10.1177/0883073811413585. PMC 5289387. PMID 21778188.
- ↑ Kirton, Adam; DeVeber, Gabrielle; Pontigon, Ann-Marie; Macgregor, Daune; Shroff, Manohar (April 2008). "Presumed perinatal ischemic stroke: Vascular classification predicts outcomes". Annals of Neurology. 63 (4): 436–443. doi:10.1002/ana.21334. PMID 18306227. S2CID 20767537.
- ↑ Philadelphia, The Children's Hospital of (2014-03-30). "Arterial Ischemic Stroke (AIS)". www.chop.edu. Retrieved 2021-03-12.
- ↑ Govaert, P.; Ramenghi, L.; Taal, R.; Dudink, J.; Lequin, M. (2009). "Diagnosis of perinatal stroke II: mechanisms and clinical phenotypes". Acta Paediatrica. 98 (11): 1720–1726. doi:10.1111/j.1651-2227.2009.01462.x. ISSN 1651-2227. PMID 19673723. S2CID 24465536.
- ↑ "What is Hypoxic-Ischemic Encephalopathy (HIE)?".
- ↑ Reiter, Jesse (6 December 2014). "What causes birth injuries? | Birth Injury FAQs". Michigan Birth Injury & HIE Attorneys. Retrieved 2020-04-21.
- ↑ "Types of Placental Disorders". www.bidmc.org. Beth Israel Lahey Health. Retrieved 2020-04-06.
- ↑ Sneddon, Sharon F. (2019). "Embryology of the Foetal Membranes and Placenta". Clinical Embryology. pp. 31–38. doi:10.1007/978-3-319-26158-4_3. ISBN 978-3-319-26156-0. S2CID 164526311.
- ↑ "Chorioamnionitis". www.stanfordchildrens.org. Stanford Children's Health. Retrieved 2020-04-06.
- ↑ "Cerebral Palsy from Neonatal Sepsis and Meningitis | Michigan Cerebral Palsy Attorneys". www.michigancerebralpalsyattorneys.com. Retrieved 2020-04-06.
- 1 2 Panet-Raymond, Dominique (November 2007). "Case 2: The 10-month-old right-hander". Paediatrics & Child Health. 12 (9): 781–784. doi:10.1093/pch/12.9.781a. PMC 2532869. PMID 19030467.
- ↑ "Congenital Heart Defects". medlineplus.gov. Retrieved 2020-04-06.
- ↑ Nuysink, Jacqueline; van Haastert, Ingrid C.; Takken, Tim; Helders, Paul J. M. (June 2008). "Symptomatic asymmetry in the first six months of life: differential diagnosis". European Journal of Pediatrics. 167 (6): 613–619. doi:10.1007/s00431-008-0686-1. PMC 2292481. PMID 18317801.
- ↑ "What Is Hypoxic-Ischemic Encephalopathy (HIE)?". HIE Help Center. Retrieved 2020-04-21.
- 1 2 Lee, Sarah; Mirsky, David M.; Beslow, Lauren A.; Amlie-Lefond, Catherine; Danehy, Amy R.; Lehman, Laura; Stence, Nicholas V.; Vossough, Arastoo; Wintermark, Max; Rivkin, Michael J.; International Paediatric Stroke Study Neuroimaging Consortium and the Paediatric Stroke Neuroimaging Consortium (April 2017). "Pathways for Neuroimaging of Neonatal Stroke". Pediatric Neurology. 69: 37–48. doi:10.1016/j.pediatrneurol.2016.12.008. PMID 28262550.
- 1 2 3 4 "Stroke - Diagnosis and treatment - Mayo Clinic". www.mayoclinic.org. Retrieved 2020-04-06.
- ↑ Laugesaar, Rael; Vaher, Ulvi; Lõo, Silva; Kolk, Anneli; Männamaa, Mairi; Talvik, Inga; Õiglane-Shlik, Eve; Loorits, Dagmar; Talvik, Tiina; Ilves, Pilvi (June 2018). "Epilepsy after perinatal stroke with different vascular subtypes". Epilepsia Open. 3 (2): 193–202. doi:10.1002/epi4.12104. PMC 5983200. PMID 29881798.
- ↑ Celkan, Tiraje; Dikme, Gurcan (4 May 2018). "Thrombosis in children: Which test to whom, when and how much necessary?". Türk Pediatri Arşivi. 53 (1): 1–9. doi:10.5152/TurkPediatriArs.2018.2586. PMC 6070222. PMID 30083068.
- 1 2 "Perinatal stroke information". HealthEngine Blog. 23 August 2005.
- ↑ Dessens, A. B.; Cohen‐Kettenis, P. T.; Mellenbergh, G. J.; Koppe, J. G.; Poll, NE van de; Boer, K. (2000). "Association of prenatal phenobarbital and phenytoin exposure with small head size at birth and with learning problems". Acta Paediatrica. 89 (5): 533–541. doi:10.1111/j.1651-2227.2000.tb00333.x. PMID 10852187. S2CID 26054200.
- ↑ Fedan, Jeffrey S. "Anticoagulant | biochemistry". Encyclopedia Britannica. Retrieved 2020-04-06.
- ↑ "Fetal Stroke | Causes of Hypoxic-Ischemic Encephalopathy (HIE)". HIE Help Center. Retrieved 2020-04-06.
- ↑ Roach, E. Steve; Golomb, Meredith R.; Adams, Robert; Biller, Jose; Daniels, Stephen; deVeber, Gabrielle; Ferriero, Donna; Jones, Blaise V.; Kirkham, Fenella J.; Scott, R. Michael; Smith, Edward R. (September 2008). "Management of Stroke in Infants and Children: A Scientific Statement From a Special Writing Group of the American Heart Association Stroke Council and the Council on Cardiovascular Disease in the Young". Stroke. 39 (9): 2644–2691. doi:10.1161/strokeaha.108.189696. PMID 18635845.
- ↑ Sorensen, Henrik Toft; Mellemkjaer, Lene; Blot, William J.; Nielsen, Gunnar Lauge; Steffensen, Flemming Hald; McLaughlin, Joseph K.; Olsen, Jorgen H. (September 2000). "Risk of upper gastrointestinal bleeding associated with use of low-dose aspirin". The American Journal of Gastroenterology. 95 (9): 2218–2224. doi:10.1111/j.1572-0241.2000.02248.x. PMID 11007221. S2CID 33742424.
- ↑ "Heparin Sodium Monograph for Professionals". Drugs.com. Retrieved 2020-04-21.
- 1 2 Davies, John A. (December 1995). "Mechanisms of action of antiepileptic drugs". Seizure. 4 (4): 267–271. doi:10.1016/s1059-1311(95)80003-4. PMID 8719918. S2CID 7240246.
- ↑ "Neurology : Antiepileptic medications". www.rch.org.au. Retrieved 2020-04-06.
- ↑ "Phenytoin (Dilantin) Uses, Dosage, Side Effects". Drugs.com. Retrieved 2020-04-21.
- ↑ "Benzodiazepines: Uses, types, side effects, and risks". www.medicalnewstoday.com. Retrieved 2020-04-21.
- ↑ "Surgery for Intracerebral Hemorrhage". Weill Cornell Brain and Spine Center. 2012-12-20. Retrieved 2020-04-06.
- ↑ "Decompressive craniectomy: All you need to know". MedicalNewsToday. 20 October 2017.
- ↑ Mandybur, George (July 2018). "Epilepsy surgery". Mayfield Clinic.
- ↑ Jayalakshmi, Sita; Panigrahi, Manas; Kulkarni, DilipKumar; Uppin, Megha; Somayajula, Shanmukhi; Challa, Sundaram (2011). "Outcome of epilepsy surgery in children after evaluation with non-invasive protocol". Neurology India. 59 (1): 30–36. doi:10.4103/0028-3886.76854. PMID 21339655.
- ↑ Jacobs, S; Hunt, R; Tarnow-Mordi, W; Inder, T; Davis, P (20 October 2003). Jacobs, Susan (ed.). "Cooling for newborns with hypoxic ischaemic encephalopathy". The Cochrane Database of Systematic Reviews (4): CD003311. doi:10.1002/14651858.cd003311. PMID 14583966.
- ↑ Rees, Sandra; Harding, Richard; Walker, David (October 2011). "The biological basis of injury and neuroprotection in the fetal and neonatal brain". International Journal of Developmental Neuroscience. 29 (6): 551–563. doi:10.1016/j.ijdevneu.2011.04.004. PMC 3168707. PMID 21527338.